电镜
- -
- 合肥麟美
- 安徽省合肥市
- 三个月以上
- 按需定制
- 议价
- 2022-12-02 14:19:31
合肥麟美生物科技有限公司
电镜
电镜样品取材方法
1、动物及人体组织的取材
动物组织的取材,应在麻醉(1%戊巴比妥钠按5ml/kg体重腹腔注射)或断头急性处死,解剖出所需器官,用解剖剪刀剪取一小块组织,放在干净的纸板上,滴一滴冷却的固定液,用新的、无油污锋利的(双面)刀片将材料切成大约1㎜宽,2~3㎜长的小块,从中挑选损伤小的小条,再将其切成1㎜3的小块,最后用牙签将这些小块逐一放入盛有冷的新鲜固定液的有盖青霉素小瓶里,放入冰箱冷藏室低温固定(0~4℃)。
2、体外培养细胞的取材
生长在培养瓶中的体外培养细胞取材时,先倒出培养液,接着到入适量的戊二醛固定液,在冰浴上放置3~5min,然后用刮刀轻轻刮下瓶壁上的细胞,将含有细胞的固定液转移到离心管中,普通离心机低速离心(2000转/分钟)15min,使细胞聚成团块,弃去上清夜,换上新鲜固定液继续固定。
3、植物组织的取材
植物组织的取材比较容易,它的细胞离体后变化不象动物细胞那样迅速,但植物细胞的细胞壁阻碍着固定液的迅速渗透。因此,植物材料的取材宜切成薄片状,经适当固定后再切成小方块。
电镜样品取材的基本要求
1、快取材的动作要迅速,最好在材料离体后1min内就进入固定液;解剖器械要锋利,避免牵拉和挤压,尽量减少取材中的机械损伤。
2、准取材要准确。①器官要准确;②部位要准确:如脑垂体的前叶和后叶要分清,其结构和功能各不相同。
3、冷取材过程应尽量在低温下进行(0~4℃),以降低酶的活性,减少细胞内结构的损失。
4、小所取材料体积要小,一般不超过1㎜3。因为固定剂的渗透力较弱,若组织块太大,块的内部将得不到良好的固定。
目前常用免疫电镜标本固定液主要有以下几种。
1、多聚甲醛-戊二醛混合固定液(简称PG固定液)推荐用2%~4% 多聚甲醛与0.5%戊二醛的混合液,固定时间为4 h。
2、过碘酸盐-赖氨酸-多聚甲醛混合固定液(称PLP固定液),固定时间为 6~12 h。该固定液选择性地固定糖类,对超微结构及许多抗原的活性保存较好。低浓度的多聚甲醛能稳定蛋白与脂类。
3、苦味酸-多聚甲醛-戊二醛固定液(称 PAPG 固定液)含4%多聚甲醛、15%(体积分数)苦味酸(2,4,6,-三硝基苯酚)、0.5% 戊二醛,pH 7.3。苦味酸穿透力强,对抗原活性影响小。在前固定液中加入苦味酸替代锇酸,能固定蛋白质,改善对膜和胞质的保存。常用于包埋后的免疫染色。
实验步骤
1、血管灌注固定固定效果最好,能使超微结构得到很好的保存。灌注装置由加压气球、压力表、三通接头和连接管道组成。不同的组织器官必须选择合适的灌注压力,详见有关书籍。灌注固定一般维持 10~15 min。然后用相同的固定液继续浸泡固定 2~4 h。
2、浸泡固定组织块切小后立即投入到固定液中,置于 4℃ 固定 2~4 h。游离培养细胞离心后去上清,加入 20 倍体积的固定液,用吸管将细胞团块打散,固定 25~30 min。
3、微波固定微波能加速组织内部分子、外部化学物质的运动和扩散。应用微波照射可以缩短固定时间,而且抗原能得到较好保存。一般 700 W 微波照射 10 s,在微波炉内放 1000 ml 的冷水以吸收热量(保持温度在 35℃ 以下),然后继续用固定液固定 2~4 h。
电镜在生物医学领域中的应用
1、在细胞学方面:由于超薄切片技术的出现和发展,人类利用电镜对细胞进行了更深入的研究,观察到了过去无法看清楚的细胞超微结构。例如,用电镜观察到了生物膜的三层结构以及细胞内的各种细胞器的形态学结构等。
2、电镜在发现和识别病毒方面起到了重要作用:许多病毒,尤其是肿瘤病毒就是用电镜发现的。电镜也为病毒的分类提供了最直观的依据,例如去年肆虐全球的SARS病毒就是首先在电镜下观察到并确认是病毒而不是支原体的。
3、在临床病理诊断方面:生物体发生疾病都会导致细胞发生形态和功能上的改变,通过对病变区细胞的电镜观察就可以为疾病诊断提供有力依据。例如目前电镜在肾活检、肿瘤诊治中发挥了重要作用。
4、电镜技术与生命科学中新兴起的技术相结合,促进了新技术的应用。例如电镜技术与免疫学技术相结合产生了免疫电镜技术,它可以对细胞表面及细胞内部的抗原进行定位,可以了解抗体合成过程中免疫球蛋白的分布情况等。
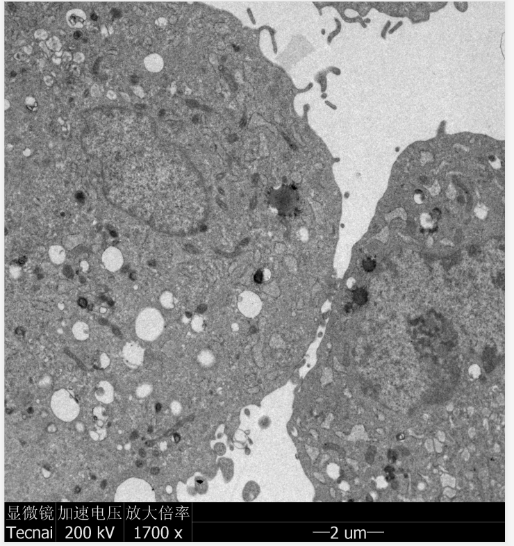
结果展示

【一站式整体科研服务,成就更高水平的科研成果】
标书基金实验咨询 表观遗传组学分析
课题实验结题指导 细胞分子功能验证
实验培训文章润色 动物模型裸鼠成瘤
临床检测科研转化 病理染色分子互作
合作流程:

