

APOE小鼠
- CS-11001
- 长生生物
- 辽宁省本溪市
- 现货
- 1个
- 240 元
- 2022-05-06 18:49:01
辽宁长生生物技术股份有限公司
一键申请试用
咨询
加入意向单
联系方式

APOE小鼠详情
1.Genetic Overview
品系名 B6-APOEem1
遗传背景 C57BL/6J
修饰方式 Cas9-knockout
基因全名 apolipoprotein E
基因别名 Apo-E; AI255918
Ensembl ID ENSMUSG00000002985
MGI ID 88057
NCBI ID 11816
2.Details and Development
载脂蛋白E(apolipoprotein E,APOE)可以在各种组织中合成,以肝脏和脑为主。APOE-/-健康情况良好,与正常小鼠在体重上没有明显差异,但是在脂蛋白及脂质的量化曲线有很大差异,平均总胆固醇含量上明显升高,给予高脂肪、高胆固醇和高胆酸钠饮食后,该差异将放大几倍;5-6周龄APOE-/-在电镜中可以观察到大动脉内皮细胞表面有单核细胞粘附,并且血浆单核细胞向血管内皮迁移,随着小鼠生长,大多数会逐渐自发形成脂质条纹损伤,进一步发展可能会形成动脉瘤;普通饲料饲养的 ApoE -/- 小鼠主动脉根部在10周时出现黄 白色结节,内皮下泡沫细胞积聚,以及单核细胞与内皮细胞的黏附;15 周时出现中度病变,表现为梭状的平滑肌细胞与泡沫细胞相互混杂,并有少许结缔组织基质沉积;20 周后出现纤维斑块。西方饮食(由21%脂肪、0.15% 胆固醇和19.5%酪蛋白组成)则会加快动脉粥样硬化病变的进程,导致小鼠出现更多晚期病变,病变处胆固醇结晶、坏死核和钙化更明显。老龄ApoE -/-小鼠可发生斑块内出血尤其是头臂干动脉处,是一个实用的可重复的动脉粥样硬化斑块内出血动物模型。
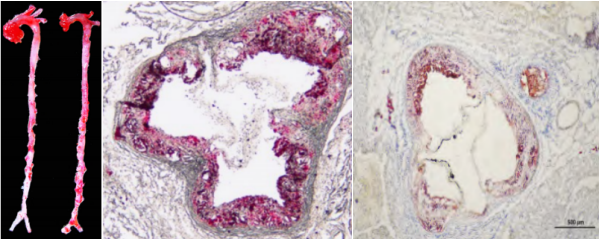
相关研究例1:主动脉根部是动脉粥样硬化斑块的高发区域,由于在生理结构上其与心脏心室相连,且其腔内的主动脉瓣具有防止主动脉血液反流入室的作用,主动脉根部斑块的形成易造成血管壁明显增厚,血管腔变窄,ApoE-/-小鼠经过12-16周高脂饮食喂养后,对小鼠全主动脉及主动脉根部进行油红O染色以及HE染色,发现在主动脉上出现了明显的粥样斑块,主动脉根部瓣膜处出现了严重的动脉粥样硬化,血管内壁全部位置明显增厚,大量脂质沉积,内腔出现严重堵塞,管腔面积缩小,内腔明显狭窄(图1)。
品系名 B6-APOEem1
遗传背景 C57BL/6J
修饰方式 Cas9-knockout
基因全名 apolipoprotein E
基因别名 Apo-E; AI255918
Ensembl ID ENSMUSG00000002985
MGI ID 88057
NCBI ID 11816
2.Details and Development
载脂蛋白E(apolipoprotein E,APOE)可以在各种组织中合成,以肝脏和脑为主。APOE-/-健康情况良好,与正常小鼠在体重上没有明显差异,但是在脂蛋白及脂质的量化曲线有很大差异,平均总胆固醇含量上明显升高,给予高脂肪、高胆固醇和高胆酸钠饮食后,该差异将放大几倍;5-6周龄APOE-/-在电镜中可以观察到大动脉内皮细胞表面有单核细胞粘附,并且血浆单核细胞向血管内皮迁移,随着小鼠生长,大多数会逐渐自发形成脂质条纹损伤,进一步发展可能会形成动脉瘤;普通饲料饲养的 ApoE -/- 小鼠主动脉根部在10周时出现黄 白色结节,内皮下泡沫细胞积聚,以及单核细胞与内皮细胞的黏附;15 周时出现中度病变,表现为梭状的平滑肌细胞与泡沫细胞相互混杂,并有少许结缔组织基质沉积;20 周后出现纤维斑块。西方饮食(由21%脂肪、0.15% 胆固醇和19.5%酪蛋白组成)则会加快动脉粥样硬化病变的进程,导致小鼠出现更多晚期病变,病变处胆固醇结晶、坏死核和钙化更明显。老龄ApoE -/-小鼠可发生斑块内出血尤其是头臂干动脉处,是一个实用的可重复的动脉粥样硬化斑块内出血动物模型。
相关研究例1:主动脉根部是动脉粥样硬化斑块的高发区域,由于在生理结构上其与心脏心室相连,且其腔内的主动脉瓣具有防止主动脉血液反流入室的作用,主动脉根部斑块的形成易造成血管壁明显增厚,血管腔变窄,ApoE-/-小鼠经过12-16周高脂饮食喂养后,对小鼠全主动脉及主动脉根部进行油红O染色以及HE染色,发现在主动脉上出现了明显的粥样斑块,主动脉根部瓣膜处出现了严重的动脉粥样硬化,血管内壁全部位置明显增厚,大量脂质沉积,内腔出现严重堵塞,管腔面积缩小,内腔明显狭窄(图1)。

图1 全主动脉及主动脉根部油红O染色
相关研究例2:肝脏是血脂合成和代谢的主要器官,肝细胞内脂质水平,反映了内源性脂质合成、摄取、酯化和输出之间的动态平衡。内源性脂质转化为中性胆固醇酯,储存在细胞质脂滴中,或作为血浆脂蛋白的主要成分分泌出来,包括高密度脂蛋白、低密度脂蛋白等。给与ApoE-/-高脂饮食12周,对肝脏组织进行油红O染色,发现与C57BL/6(普通饮食)小鼠相比肝脏中出现了大量空泡样脂肪变性,肝细胞稀疏、排列紊乱。

图2 C57BL/6(左侧)与ApoE-/-(右侧)肝脏油红O染色
3.Homozygous survival
纯合可育
4.Main application fields
1)心血管疾病研究:动脉粥样硬化
2)神经退行性疾病:阿尔兹海默症
3)脂质代谢研究:高胆固醇血症、高血脂症
5.Rerferences
[1]. Nakashima Y, Plump AS, Raines EW, et al. ApoE-deficient mice develop lesions of all phases of atherosclerosis throughout the arterial tree[J]. Arterioscler Thromb, 1994, 14(1): 133-140.
[2]. Bond AR, Jackson CL. The fat-fed apolipoprotein E knockout mouse brachiocephalic artery in the study of atherosclerotic plaque rupture[J]. J Biomed Biotechnol, 2011, 2011: 379069.
[3].范慧婕,赖逸贵,蒋雪峰,王强,李孔正,傅应昌,张为.橙皮苷改善ApoE(-/-)小鼠动脉粥样硬化的作用机制研究[J].河南中医,2022,42(03):397-402.
[4].李智,高铸烨,别玉龙,陈鑫,白瑞娜.黄连素通过PPARγ-LXRα-ABCA1信号通路促进ApoE(-/-)小鼠胆固醇代谢的作用机制研究[J].中华中医药学刊:1-11.
[5].赵丹. TL1A通过调控血管平滑肌细胞表型抑制apoE缺失小鼠动脉粥样硬化的发生发展[D].南开大学,2021.
纯合可育
4.Main application fields
1)心血管疾病研究:动脉粥样硬化
2)神经退行性疾病:阿尔兹海默症
3)脂质代谢研究:高胆固醇血症、高血脂症
5.Rerferences
[1]. Nakashima Y, Plump AS, Raines EW, et al. ApoE-deficient mice develop lesions of all phases of atherosclerosis throughout the arterial tree[J]. Arterioscler Thromb, 1994, 14(1): 133-140.
[2]. Bond AR, Jackson CL. The fat-fed apolipoprotein E knockout mouse brachiocephalic artery in the study of atherosclerotic plaque rupture[J]. J Biomed Biotechnol, 2011, 2011: 379069.
[3].范慧婕,赖逸贵,蒋雪峰,王强,李孔正,傅应昌,张为.橙皮苷改善ApoE(-/-)小鼠动脉粥样硬化的作用机制研究[J].河南中医,2022,42(03):397-402.
[4].李智,高铸烨,别玉龙,陈鑫,白瑞娜.黄连素通过PPARγ-LXRα-ABCA1信号通路促进ApoE(-/-)小鼠胆固醇代谢的作用机制研究[J].中华中医药学刊:1-11.
[5].赵丹. TL1A通过调控血管平滑肌细胞表型抑制apoE缺失小鼠动脉粥样硬化的发生发展[D].南开大学,2021.