DNA甲基化修饰试剂盒(BSP Kit,50T)
- Bes5201 (N)
- 广州伯信生物科技有限公司
- 广东省广州市
- 一周内
- 50T盒
- 4888 元
- 2022-08-09 15:05:37
广州伯信生物科技有限公司
一键申请试用
咨询
加入意向单
联系方式
产品介绍:
生物体内DNA的CpG位点被亚硫酸氢盐修饰后,其GC比例发生改变。
基于亚硫酸氢盐修饰,DNA的甲基化检测方法包括MSP、BSP、HRM和DNA甲基化芯片等。

实验原理:
本试剂盒采用亚硫酸氢盐修饰基因组DNA,所有未发生甲基化的胞嘧啶(C)被转化为尿嘧啶(U),而甲基化的胞嘧啶则不变,从而导致基因组DNA碱基比例发生改变。
技术流程:

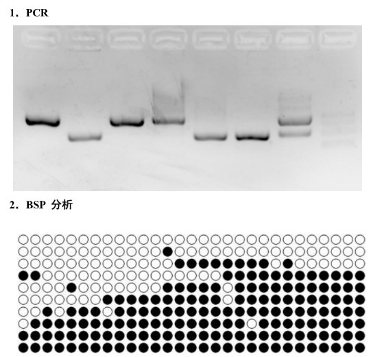
结果实例:

产品优势:
(1)敏感性高,待测DNA中5-甲基胞嘧啶分布极不均衡也可检测。
(2)适用于各种样本类型。
(3)转化效率高,在3小时内完成富含GC的DNA的完全转化。
(4)独特的保护剂最大限度地避免DNA降解,保障了后续的检测实验的需求。
(5)优化的缓冲液体系能最大限度的提高处理后的DNA回收效率。
