特殊染色
- BesJS5003
- 广州伯信生物科技有限公司
- 广东省广州市
- 三个月内
- 按需定制
- 询价
- 2022-08-04 09:44:30
广州伯信生物科技有限公司
一键申请试用
咨询
加入意向单
联系方式
技术介绍:
针对不同的研究目的,开展不同的染色服务:HE染色、弹力纤维染色、网状纤维染色、吉姆萨染色、富尔根染色、SYTO/EB染色、PAS染色、AB阿利新兰染色、AB-PAS染色、番红-固绿染色、WGA染色、Gomori's染色、Van Gieson(V-G)染色、Masson三色染色、Pollak三色染色、天狼星红染色、E-V-G染色、Weigert间苯二染色、番红O-固绿染色、Turnbull-Sehmaltzer铁染色、镀银染色、Luxol fast blue染色、Mito-Tracker Green、DiO膜染色、茜素红染色、Von Kossa染色等等。
客户提供:
(1)组织:新鲜或固定(10%中性甲醛、4%多聚甲醛)组织样本。
(2)细胞:新鲜(大于10E6)或固定(10%中性甲醛、4%多聚甲醛)细胞样本。
(3)切片:石蜡切片,冰冻切片以及细胞爬片,涂片。
伯信提供:
(1)染色后的切片。
(2)电子图片。
(3)实验报告(材料、试剂、仪器、方法、数据分析、实验结果)。
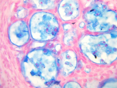
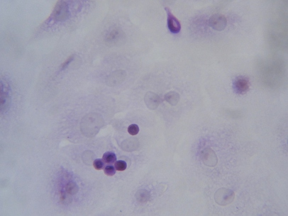
结果实例:


阿利新蓝染色

PAS染色

HE染色 全镜扫描

HE染色 大鼠眼球 400×
