细胞迁移与侵袭
- YZ-027
- 亚载生物
- 上海市
- 一个月内
- 按需定制
- 议价
- 2022-08-17 11:43:17
上海亚载生物科技有限公司
一键申请试用
咨询
加入意向单
联系方式
技术原理:
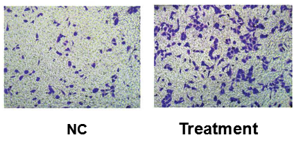
细胞迁移实验是通过上室种肿瘤细胞,下室加入 FBS 或某些特定的趋化因子,肿瘤细胞会向营养成分高的下室跑,计数进入下室的细胞量可反映肿瘤细胞的迁移能力。
细胞侵袭实验是通过上室种肿瘤细胞,下室加入 FBS 或某些特定的趋化因子,肿瘤细胞会向营养成分高的下室跑,但与肿瘤细胞迁移 实验不同的是,聚碳酸酯膜上室侧铺上一层基质胶,用以模仿体内细胞外基质,细胞欲进入下室,先要分泌基质金属蛋白酶( MMPs )将基质胶降解,方可通过聚碳酸酯膜。计数进入下室的细胞量可反映肿瘤细胞的侵袭能力。
实验方法
Step1:细胞培养
Step2:转染或药物处理
Step3:细胞收集
Step4:transwell小室检测
结果展示

实验完成周期及交付标准
1. 实验周期:周期为7-15个工作日,具体示工作量而定。
2. 交付标准:原始图片、统计学分析结果图和实验报告(试剂、耗材)等。
需确认的信息
1. 细胞样品是否需要进行处理以及样品的分组情况?
为你推荐
