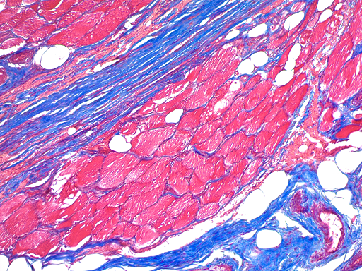
Masson染色
- RY18
- 上海睿远生物
- 上海市
- 现货
- 1次
- 0 元
- 2022-05-06 13:52:54
上海睿远生物医药科技有限公司
一键申请试用
咨询
加入意向单
联系方式

服务介绍:
丽春红酸性品红-苯胺蓝染色,是用于检测动物组织中胶原纤维的一种染色方法之一,能够将胶原纤维染成蓝色,肌纤维、和红细胞呈红色,可用于鉴胶原纤维和肌纤维;并显示各种组织胶原纤维含量及纤维化程度。

实验流程:
脱蜡至水—ZGSJ过夜-铁苏木素染色-丽春红酸性品红-磷钼酸染色-苯胺蓝染色—脱水封片—显微镜镜检
结果判读:
胶原纤维呈天蓝色至亮深蓝色;肌纤维、胞质、纤维素、角质白呈红色至紫红色;红细胞呈水红色。
送样运输要求:
1.样本放置于20倍样本体积的固定液中固定24h以上,常温运输送样。
切勿固定时间过长,切勿冷冻结冰。
2.石蜡切片常温运输,冰冻切片-20℃运输。
