

抗体定制,ELISA试剂盒/胶体金开发
- JKR0044
- 金开瑞
- 湖北省武汉市
- 现货
- 次
- 请详询!
- 2022-10-18 15:58:15
武汉金开瑞生物工程有限公司

- 别名
- 抗体定制,ELISA试剂盒/胶体金开发
单克隆抗体定制服务简介
与多克隆抗体相比,单克隆抗体针对单一的抗原表位,具有特异性更强,灵敏度更高的特点。使用单克隆抗体可免除不同细胞及微生物种或株间血清学上的交叉反应,大大提高诊断的特异性及敏感度。同时,单克隆抗体在研究细胞表面标志、提纯可溶性抗原、进一步研究抗体的结构和功能、抗体药物研究等方面都起到十分重要的作用。
服务流程

重组蛋白:至少2-3 mg,蛋白纯度大于90%,浓度不低于0.5 mg/mL,蛋白分子量大于10kDa;
多肽:裸肽1 mg,偶联KLH/BSA/OVA或其他载体蛋白3-4 mg,裸肽纯度大于90%,序列长度不少于10个AA;
病毒/细菌/胶条/天然蛋白等抗原类型请具体咨询,另外也可选择由金开瑞制备抗原。
2-5株杂交瘤细胞株和最好1株提供5-10 mg腹水纯化的抗体;
鉴定报告,包括小鼠血清效价,杂交瘤的构建(融合率、阳性率)、杂交瘤的克隆化、杂交瘤培养上清液的抗体特异性检测,以及杂交瘤诱生腹水的ELISA效价检测,并根据客户的需求,提供抗体验证结果,如WB、IP、IF等。
| 服务编号 | 服务名称 | 服务内容 | 服务周期 |
|---|---|---|---|
| JKR-mb001 | 常规单克隆抗体定制 | 单克隆抗体定制(客户提供抗原) | 14-18周 |
| 单克隆抗体定制(金开瑞制备抗原) | 17-28周 | ||
| JKR-mb002 | 快速单克隆抗体定制 | 快速单克隆抗体定制(客户提供抗原) | 10-12周 |
| 快速单克隆抗体定制(金开瑞提供抗原) | 14-18周 | ||
| JKR-mb003 | 特殊单克隆抗体定制 | 抗独特型单克隆抗体定制 | 请咨询 |
| 修饰化单克隆抗体定制 | 请咨询 | ||
| 无血清培养基制备单克隆抗体 | 请咨询 | ||
| 科研用单克隆抗体对定制 | 请咨询 | ||
| 诊断用单克隆抗体对定制 | 请咨询 | ||
| 高灵敏度小分子单克隆抗体定制 | 请咨询 | ||
| 其他特殊单克隆抗体定制 | 请咨询 |
项目背景
客户提供:质粒模板;
项目要求:抗体可以做内源样本的WB
制备流程
1、抗原制备
根据目标蛋白的序列分析结果,选择合适的表达载体及宿主进行重组表达及纯化,该项目我们最终选用大肠表达系统,放大制备抗原。

2、抗体制备
2.1 免疫:2种方案,免疫8只BalB/C小鼠,效价如下:
| PA1-1704001-**蛋白三免效价 | |||||||||
|---|---|---|---|---|---|---|---|---|---|
| 稀释度 | 1-左 | 1-右 | 1-中 | 1-无 | 2-左 | 2-右 | 2-中 | 2-无 | 空白血 |
| 1/1000 | 2.7311 | 2.8809 | 2.8325 | 2.856 | 2.981 | 2.856 | 2.8325 | 3.2662 | 0.6045 |
| 1/2000 | 2.6592 | 2.953 | 2.758 | 2.6977 | 2.886 | 2.7488 | 2.7966 | 3.0321 | 0.3088 |
| 1/4000 | 2.6467 | 2.8027 | 2.7082 | 2.9085 | 2.8027 | 2.7912 | 2.9085 | 3.2918 | 0.0952 |
| 1/8000 | 2.7585 | 2.8302 | 2.9589 | 2.8531 | 2.7681 | 2.8531 | 2.9741 | 3.1203 | 0.095 |
| 1/16000 | 2.7819 | 2.837 | 2.837 | 2.7239 | 2.837 | 2.8867 | 2.837 | 3.2912 | 0.0399 |
| 1/32000 | 2.438 | 2.7804 | 2.6835 | 2.7592 | 2.6582 | 2.6749 | 2.7293 | 3.0023 | 0.0242 |
| 1/64000 | 2.0077 | 2.4377 | 2.4713 | 2.1855 | 2.3734 | 2.3577 | 2.3655 | 2.6948 | 0.0076 |
| 1/128000 | 1.2849 | 2.0094 | 2.1806 | 1.5955 | 1.5993 | 1.9036 | 2.0281 | 2.4623 | 0.012 |
| PA1-1704001-**蛋白四免效价 | |||||||||
|---|---|---|---|---|---|---|---|---|---|
| 稀释度 | 1-左 | 1-右 | 1-中 | 1-无 | 2-左 | 2-右 | 2-中 | 2-无 | 空白血 |
| 1/1000 | 2.835 | 2.8443 | 2.8943 | 2.835 | 3.1453 | 2.916 | 3.0599 | 2.8366 | 1.254 |
| 1/2000 | 2.6964 | 2.7657 | 2.8584 | 2.9502 | 2.9376 | 2.9502 | 2.8482 | 2.9124 | 0.883 |
| 1/4000 | 2.7976 | 2.8283 | 2.7878 | 2.8178 | 3.0261 | 2.8613 | 3.0431 | 2.9992 | 0.3678 |
| 1/8000 | 2.7034 | 2.8075 | 2.7034 | 2.8655 | 2.8553 | 2.876 | 2.8453 | 3.1467 | 0.0801 |
| 1/16000 | 2.5778 | 2.6528 | 2.7674 | 2.8014 | 2.8014 | 2.8582 | 2.8788 | 3.0167 | 0.0963 |
| 1/32000 | 2.5072 | 2.6615 | 2.6189 | 2.5749 | 2.7381 | 2.7381 | 2.7232 | 2.9619 | 0.0437 |
| 1/64000 | 2.3246 | 2.5952 | 2.5054 | 2.4474 | 2.5249 | 2.6319 | 2.5506 | 2.5236 | 0.0306 |
| 1/128000 | 1.8411 | 2.4785 | 2.2799 | 1.9458 | 2.2455 | 2.3142 | 2.2455 | 2.0905 | 0.04 |
2.2 融合以及筛选:加强3天后,项目融合,采用液体和半固体相配合的模式,挑取有效克隆1500多个,考虑到客户的最终应用,将天然样本的WB验证提前放到筛选中,挑选出高特异性、强反应度的细胞株进行接下来的亚克隆,直至最终获取了6株可在WB中很好识别客户样本的细胞株并进行接下来的稳定筛选。
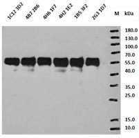
2.3 亚克隆阶段验证结果

2.4 腹水制备及抗体纯化

2.5 抗体滴度验证
| 包被原:1704001蛋白 | 包被浓度:1 μg/mL | 项目编号:PA1-1704001 | ||
|---|---|---|---|---|
| 抗体批号:20170921 | 检测人:*** | 检测时间:20170928 | ||
| 株号 | 一抗浓度 | OD值 | ![]() |
|
| 2G3 1D7 | 1 μg/mL | 3.3454 | ||
| 0.5 μg/mL | 3.1243 | |||
| 0.25 μg/mL | 3.2693 | |||
| 0.125 μg/mL | 2.905 | |||
| 62.5 ng/mL | 2.601 | |||
| 31.25 ng/mL | 2.5372 | |||
| 15.625 ng/mL | 2.0696 | |||
| 7.813 ng/mL | 1.5639 | |||
| 3.906 ng/mL | 0.9619 | |||
| 1.953 ng/mL | 0.5392 | |||
| 0.977 ng/mL | 0.2845 | |||
| 0.498 ng/mL | 0.1501 | |||
| 0 | 0.0243 | |||
小结
该项目进展较顺利,整个项目历时20周。客户提供项目序列信息及克隆质粒,由金开瑞进行抗原设计、蛋白表达纯化、抗体筛选及抗体验证等一系列工作,最终筛选出可识别內源性样本的单克隆抗体,远远超出客户预期。其次制备阶段,针对节点性的数据我们会及时跟客户沟通,使其对整个项目的进度了如指掌,通过此项目的合作,与客户建立了长期合作的良好关系。
免疫试剂盒及胶体金定制
服务简介
金开瑞试剂盒及胶体金服务拥有完善的ELISA试剂盒、胶体金免疫层析、荧光免疫层析开发平台,专业的研发技术人员,结合成熟的抗原、抗体研发系统,可从事科研及诊断靶点的试剂盒、胶体金的研发以及抗原和抗体的标记、样本代测、试剂盒及胶体金的组装等定制服务。
服务流程

| 服务内容 | 交付标准 | 周期 |
|---|---|---|
| 抗体配对测样初筛 | 抗体标记,单配单进行配对测样,可初步建立起标准曲线,收费100% | 1-2周 |
| ELISA检测方法的建立 | 提供标准曲线及线性范围,提供ELISA基本参数评价结果(LOD(最低检测限);批内和批间变异系数;37℃加速稳定性实验)等数据 | 4-8周 |
| 样品的检测及评价方法的建立 | 提供检测样本数据(建议客户提供经验证过的阴阳性样本作为对照,试剂盒检测限:根据目标检测蛋白在样本的含量及客户要求) | 2-3周 |
| 成品试剂盒 | 定制的ELISA试剂盒成品,可提供2-5个成品试剂盒(包被好的酶标板及配套的试剂盒组分等) | 3-5个工作日 |
| 服务内容 | 标准 | 周期 |
|---|---|---|
| 抗体配对测样初筛 | 抗体标记并进行配对测样,可初步建立起标准曲线,收费100% | 1-2周 |
| 配对抗原抗体工作条件的确定 | 确定抗原划膜条件、抗体标记条件;确定试纸条检测标准品的检测浓度 | 1-2周 |
| 样本前处理方法的确定 | 确定样品前处理方法,提供检测样品数据(图片形式) | 1-2周 |
| 胶体金卡性能评价 | 提供最终产品稳定性、重复性数据及交叉反应率(图片形式) | 2-3周 |
| 成品检测卡 | 200条成品检测卡提供给客户 | 1-2周 |
项目背景
客户提供:目标蛋白基因序列
客户要求:定制可用于ELISA试剂盒生产的抗体原料
项目进程:经过技术支持前期跟客户之间的详细沟通,得知该客户需要达到诊断检测的要求,希望能开发出符合预期的ELISA试剂盒,如果开发出较好的原料,可以进一步进行化学发光以及胶乳等产品研发。鉴于此项目工作量大,要求较高,特地组建项目小组,由专人分别负责抗原,抗体以及质控平台,并详细制定了每一步的执行方案。抗原部分,分别采用了大肠和酵母表达系统的重组蛋白+天然抗原共3种免疫原;抗体筛选阶段,运用我司引进的上清阶段表位分组的技术,对大量阳性克隆进行分组,为后期的配对提供了强有力的支撑;最后到达质控平台的抗体原料经过检测限标曲调试、热稳、小试、中试、大试以及同类指标的交叉反应等方面验证了抗体批内批间的变异系数,对抗体对的性能做了全面的评估。
部分结果展示
1、抗体滴度
根据客户要求,最后共获得4株单抗1#2#3#4#,4株抗体浓度统一稀释到1mg/mL后再进行梯度稀释,下表为ELISA检测结果:
| 抗体稀释度 | 1# | 2# | 3# | 4# |
|---|---|---|---|---|
| 1/1000 | 2.649 | 2.656 | 2.746 | 2.707 |
| 1/5000 | 2.547 | 2.555 | 2.714 | 1.162 |
| 1/25000 | 2.414 | 1.139 | 1.347 | 0.383 |
| 1/125000 | 1.139 | 0.236 | 0.339 | 0.153 |
| 1/625000 | 0.255 | 0.155 | 0.155 | 0.145 |
| 1/3125000 | 0.103 | 0.093 | 0.084 | 0.085 |
2、抗原识别
**1#2#3#鼠单抗分别作为包抗,4#鼠单抗标记HRP为检抗,**4株鼠单抗均可识别天然样本:
| 样本 | 1# | 2# | 3# |
|---|---|---|---|
| 标准品100ng/ml | 2.301 | 2.311 | 2.359 |
| 标准品10ng/ml | 2.276 | 2.167 | 2.036 |
| 标准品1ng/ml | 1.049 | 0.513 | 0.641 |
| 正常血清①原液 | 2.151 | 2.141 | 1.442 |
| 正常血清①1:10 | 2.151 | 1.365 | 0.444 |
| 正常血清②1:10 | 2.266 | 1.554 | 0.695 |
| PBS | 0.177 | 0.138 | 0.192 |
产品应用
1、ELISA
所开发的4株单抗有多种配对组合方式,如2#为包抗,1#鼠单抗标记HRP为检抗,ELISA标曲如下图:

2、化学发光
2#为包抗,1#鼠单抗标记HRP为检抗,标曲如下图:

3、胶乳增强免疫比浊
将几种单抗混合包被于胶乳颗粒,制备成胶乳试剂,然后检查不同浓度蛋白校准品,线性拟合如下图,相关性很好。

4、IHC

结论
金开瑞抗体平台的研发团队具备多年诊断原料开发经验,可承接诊断类抗体相关业务。该项目所制备的**单克隆抗体可高灵敏,高特异的检测人血清中的**蛋白,可用于 ELISA、化学发光、胶乳诊断试剂盒的开发。最终给客户交付了一份满意的答卷,并建立了长久的合作关系!

