Nocard™Rid(200μL×5)-支原体去除剂
- ZF901-02
- ZoFtic
- 江苏省南京市
- 现货
- 按需
- 议价
- 2023-06-12 17:37:18
南京知凡生物技术有限公司
一键申请试用
咨询
加入意向单
联系方式

产品说明书
产品简介:
Nocard™Rid:新一代支原体清除剂,主要用于清除细胞、血清、培养基中的支原体,同时对常见的细菌也有一定的清除作用。
作用原理:Nocard™Rid可以有效杀灭细胞外面的支原体和常见细菌,也可以进入细胞内清除细胞体内的支原体,让细胞彻底摆脱支原体污染的困扰,确保研究人员实验结果的可信度。
产品优势:
●有效清除支原体污染,清除效率100%;
●只需2-3天,即可清除细胞内外支原体污染;
●直接加到血清、培养基中,不影响细胞生长;
●具有广谱性,可替代双抗,杀灭常见细菌;
●对细胞无毒性,支原体不会对其产生耐药性;
●安全可靠,几百种细胞进行验证;
●无二次污染,产品可降解为氨基酸被细胞利用。
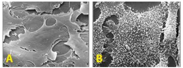
案例分析:

图1.A是好的3T3细胞,B是支原体污染的3T3细胞

图2.Nocard Rid 处理支原体污染的MCF-7细胞,2天后经DAPI荧光染色法对前、后细胞进行染色对比,
结果显示,Nocard Rid能够快速有效清除细胞支原体污染。
产品规格:
货号 | 产品名称 | 规格 |
ZF901-01 | Nocard™ Rid | 200μL |
| ZF901-02 | Nocard™ Rid | 200μL×5 |
| ZF901-03 | Nocard™ Rid | 200μL×10 |
