Smad1 Antibody
- ZF5294
- ZFanti
- 江苏省南京市
- 现货
- 按需
- 议价
- 2023-06-13 14:11:26
南京知凡生物技术有限公司
Size : 50μg/50μl, 100μg/100μl
Mol Weight : 60kDa
UniProt : Q15797
Isotype : Rabbit IgG
Clonality : Monoclonal
Price : $265/100μg
Availability : Ship next day
Alternative Names:
BSP-1; BSP1; Dwarfin-A; Dwf-A; JV4-1; MADH1; MADR1; Mad-related protein 1; Mad1; SMAD1; Smad1;
Application:
WB ICC/IF
Reactivity:
Human Mouse
Dilution:
WB 1:500~1:2000 ICC/IF 1:50~1:200
Western blot analysis of Smad1 expression in HeLa cell lysate. |
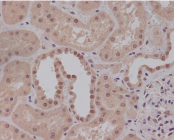
Immunohistochemical analysis of paraffin-embedded human kidney, using Smad1 Antibody. |
Purification:
Affinity-chromatography
Specificity:
Smad1 Antibody detects endogenous levels of total Smad1
Immunogen:
A synthesized peptide derived from human Smad1
Description:
Transcriptional modulator activated by BMP (bone morphogenetic proteins) type 1 receptor kinase. SMAD1 is a receptor-regulated SMAD (R-SMAD). SMAD1/OAZ1/PSMB4 complex mediates the degradation of the CREBBP/EP300 repressor SNIP1. May act synergistically with SMAD4 and YY1 in bone morphogenetic protein (BMP)-mediated cardiac-specific gene expression.
Storage Condition and Buffer:
Rabbit IgG in phosphate buffered saline , pH 7.4, 150mM NaCl, 0.02% sodium azide and 50% glycerol. Store at +4°C short term. Store at -20°C long term. Avoid freeze / thaw cycle.
