 
   
  磷酸化蛋白分析用——Phos-tag™ 系列产品
- 304-93521
- 富士胶片和光
- 国外国外
- 三个月以上
- 按需
- 议价
- 2024-04-19 14:26:02
富士胶片和光(广州)贸易有限公司

- 英文名称
- Phos-tag™
- 关键词
- 磷酸化蛋白蛋白分析蛋白研究蛋白质分析蛋白质研究

Phos-tag™是一种可特异性捕获磷酸化Ser、Thr、Tyr等物质的功能分子,由日本广岛大学大学院医齿药学综合研究科医学品分子机能科学研究室开发。以Phos-tag™ 丙烯酰胺(Phos-tag™ Acrylamide)为首开发的多种Phos-tag™ 产品被应用于世界范围内的基础研究,并且在GPCR通路及Wnt通路的信号转导分析方面也取得了优秀成果。
◆分离磷酸化蛋白!
在制备SDS-PAGE预制胶过程中加入Phos-tag™ Acrylamide,即可根据磷酸化水平和磷酸化位点分离磷酸化蛋白与非磷酸化蛋白。
原理

1. 电泳中的磷酸化蛋白捕获2个二价金属离子。
2. 磷酸化水平越高电泳速度越慢。
3. 根据磷酸化水平进行分离。(即使磷酸化位点的数目相同,但只要位置不同就能分离)
特点
● 可检测市售抗磷酸化抗体无法检测的磷酸化蛋白。
● 可检测磷酸化水平及磷酸化位点。
● 可同时检测磷酸化与非磷酸化
Phos-tag™实验指导手册,点击此处查看
从制作Phos-tag™ SDS-PAGE预制胶开始,Phos-tag™ 相关信息一览
◆实验数据
① α-casein去磷酸化反应随时间的变化

使用碱性磷酸酶随时间(孵育时间:0-120 min)处理α-casein(产品编号:038-23221),并使用Phos-tag™ SDS-PAGE和常规SDS-PAGE分离去磷酸化处理的样品。
② 野生型/突变型Noxa表达的MCL-1磷酸化水平变化

使野生型(wt)及突变型(3E,KR,5A)的Noxa在肺小细胞癌细胞株H209细胞中表达,并进行细胞溶质(Cytosol)组分和HM(Heavy Membrane,含线粒体较多)组分分离。通过Phos-tag™ SDS-PAGE分离出样品中的MCL-1(40 kDa),使用抗MCL-1抗体进行Western blotting检测。
【数据提供】
日本医科大学 先进医学研究所 基因控制部门 中嶋亘
③ 二维电泳中的应用: hnRNP K异构体的磷酸化分析

通过免疫沉淀法,从经LPS刺激后的小鼠巨噬细胞J774.1的细胞核提取液中,分离得到hnRNP K。在二维电泳中,一维使用IPG胶(pH 4.7-5.9),二维使用Phos-tag™ SDS-PAGE,分离hnRNP K的异构体(66 kDa,64 kDa)。使用质谱仪可以确认不同的点代表不同的异构体或修饰位点。
【数据提供】
横滨市立大学 生命纳米系统科学研究科 生物体超分子系统科学专业,木村弥生(Dr. Y. Kimura)、平野久(Dr. H. Hirano)理化学研究所RCAI 小原收
产品列表
| 产品编号 | 生产商编号 | 产品名称 | 包装 | 
| 304-93521 | AAL-107 | Phos-tag Acrylamide AAL-107 Phos-tag™ 丙烯酰胺 AAL-107 | 10 mg | 
| 300-93523 | AAL-107M | 2 mg | |
| 304-93526 | AAL-107S1 | Phos-tag Acrylamide AAL-107 5 mM Aqueous Solution Phos-tag™ 丙烯酰胺AAL-107 5 mM液体型 | 0.3 mL | 
点击此处查看产品详情
◆检测磷酸化蛋白!
▌Phos-tag™ Biotin

Phos-tag™ Biotin是Phos-tag™ 分子与生物素结合的产品,无需使用抗磷酸化抗体即可检测与PVDF膜上的磷酸化蛋白。
本产品进需配合“HRP 结合亲和素”进行使用。
特点
● 结合与磷酸化种类无关
● 推荐用于检测无合适的抗磷酸化抗体的蛋白
产品列表
| 产品编号 | 生产商编号 | 产品名称 | 包装 | 
| 301-93531 | BTL-104 | Phos-tag Biotin BTL-104 Phos-tag™ 生物素BTL-104 | 10 mg | 
| 308-97201 | BTL-111S1 | Phos-tag Biotin BTL-111 1 mM Aqueous Solution Phos-tag™ 生物素1 mM水溶液 | 0.1 mL | 
点击此处查看产品详情
▌Phos-tag™ 凝胶荧光染料
Phos-tag™ 凝胶荧光染料,是一种可在生理 pH 范围内,对凝胶中的磷酸化蛋白进行染色的荧光染料。进行SDS-PAGE后,用本产品处理聚丙烯酰胺凝胶,可以对磷酸化蛋白进行特异性染色。本系列有波长不同的Yellow(黄)、Magenta(品红)、Cyan(蓝绿)、Aqua(浅绿)四种颜色。每管规格为0.2 mg,可对约20个迷你凝胶进行染色。
实验数据

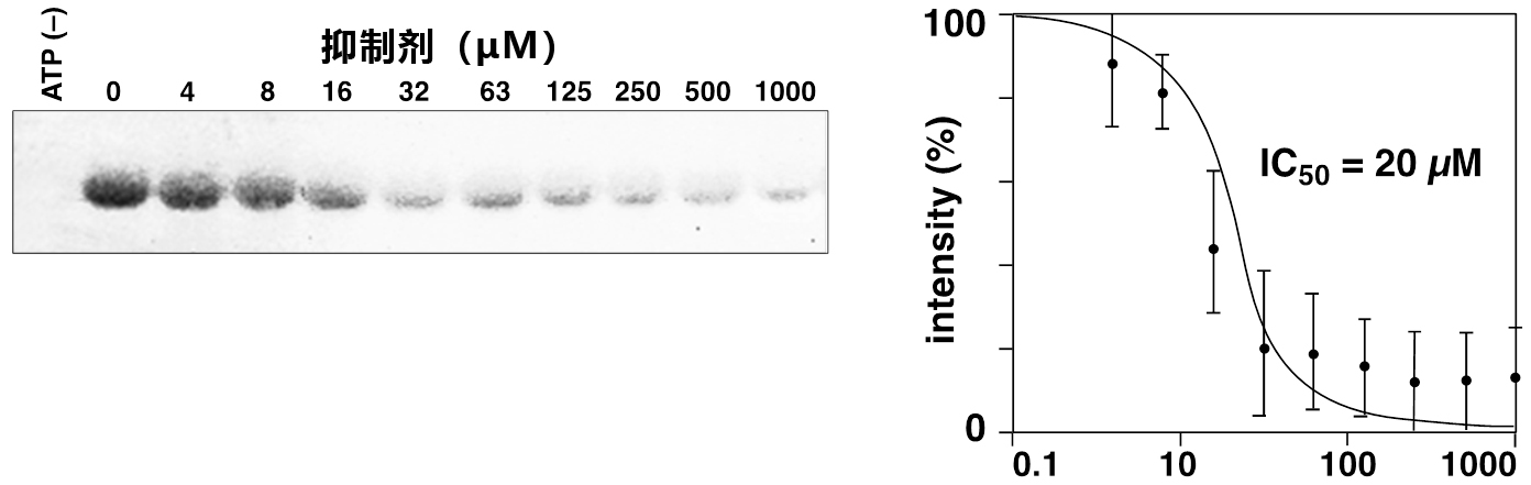
使用Phos-tag™ 荧光凝胶染色,筛选组氨酸激酶抑制剂。结果表明,激酶抑制剂对磷酸化存在浓度依赖性抑制。
【数据提供】
广岛大学大学院 医学科学研究科 医药分子机能科学研究室 木下惠美子,木下英司,小池透
产品列表
| 产品编号 | 生产商编号 | 产品名称 | 包装 | 
| 382-15201 | nPGS-A01 | Phos-tag™ Aqua Phos-tag™ 浅绿荧光染料 | 0.2 mg | 
| 389-15211 | nPGS-C01 | Phos-tag™ Cyan Phos-tag™ 蓝绿荧光染料 | 0.2 mg | 
| 380-15241 | nPGS-Y01 | Phos-tag™ Yellow Phos-tag™ 黄色荧光染料 | 0.2 mg | 
| 386-15221 | nPGS-M01 | Phos-tag™ Magenta Phos-tag™ 品红荧光染料 | 0.2 mg | 
| 383-15231 | nPGS-MR1 | Mixed reagents for Phos-tag™ Common Solution 5× Phos-tag™ 5×染色通用混合溶液 | 1个 | 
点击此处查看产品详情
◆纯化磷酸化蛋白!

产品列表
| 产品编号 | 生产商编号 | 产品名称 | 包装 | 
| 385-20061 | nMG-303 | Phos-tag™ MG-Bead | 100 μL | 
| 387-07321 | AG2-103 | Phos-tag™ Tip Phos-tag™ 琼脂糖吸管 | 8支 | 
| 302-93561 | AG-501 | Phos-tag™ Agarose* Phos-tag™ 琼脂糖 | 0.5 mL | 
| 308-93563 | AG-503 | 3 mL | 
*此产品由Manac Inc.生产并销售。
◆质谱分析磷酸化蛋白
Phos-tag™ 质谱分析用试剂盒(产品编号:305-93551)通过与MALDI-TOF/MS的样品进行混合,即用于磷酸化蛋白的质谱分析。本产品包含三种不同的分子量的Phos-tag™ 分子。

产品列表
| 产品编号 | 生产商编号 | 产品名称 | 包装 | 
| 305-93551 | MS-101KIT | Phos-tag Mass Analytical Kit Phos-tag™ 质谱分析试剂盒 | 1套 | 
点击此处查看产品详情
※ 本页面产品仅供研究用,研究以外不可使用。

 
  
  
   
   
   
   
   
  