小动物超声成像系统
- 6 LAB
- VINNO
- 北京市
- 现货
- /台
- 议价
- 2022-09-23 16:02:45
北京益仁恒业科技有限公司

益仁恒业率先推出首款便携式小动物超声设备,它是专为实验小动物开发的高频高分辨率小动物超声成像系统,为研究者提供无创连续分析,高分辨率图像质量和组织结构和血流速度的定量分析。通过专门为小鼠和大鼠设计的硬件和软件,以及优化的人体工学操作设计,为研究人员在心血管研究,基因表达模式分析,肿瘤研究和药物开发等方面提供具有成本效益的应用工具。
产品用户单位(医院、高校、药企及CRO公司):

RF元数据平台 开创了超声诊断的新纪元
◆ 高分辨率
◆ 基于无损信号的自主开发图像处理算法
◆ 多级计算缩放,更接近真实值
◆ 后端处理的信号量是常规信号的40倍
◆ 高动态范围,HDR
◆ 非线性解调
◆ 改善显示的微小细节
◆ 高对比度
◆ 边界清晰

主系统
主系统使用Altera的FPGA芯片。在FPGA领域,Altera占据41%的市场份额,一直保持市场和技术的领导地位。其大规模系统数据的性能使图像变得微妙,并保证了系统的高性能和长寿命。

优质高频探头
23MHz高频探头,优秀卓越的浅表显影
法国VERMON高频探头
自1984年以来,VERMON一直致力于设计和制造先进且独特的换能器技术。这是VERMON的战略,旨在为全球客户提供具有创新性超声波诊断模式的定制产品。Vermon一直是压电复合技术的领导者。

探头的质量主要取决于以下组件:声透镜,匹配层,换能器,背衬材料,电缆。从材料,设计到制造过程,VINNO探针都是无可挑剔的。
◆ 上层材料:采用复合压电陶瓷和单晶,提高图像穿透力。同时,先进的XTech技术可以有效地将分辨率提高20-40%。
◆ 探头频率越高,压电晶体的厚度越薄,损坏的可能性越大。VINNO采用一流的压电材料,通过非引脚接口设计来提高可靠性并减少损坏。
◆ 与具有128个阵列元件的传统探头相比,VINNO超宽探头可以有效地扩大其256个阵列元件的采集范围。同时,将自适应频率设置为,以提高不同组织和器官的图像质量。
、
Easy Compare 跟踪对比

微磁导航—体外精准定位

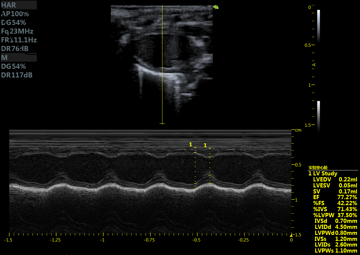
齐全的功能模块 :心脏测量包

产品应用:
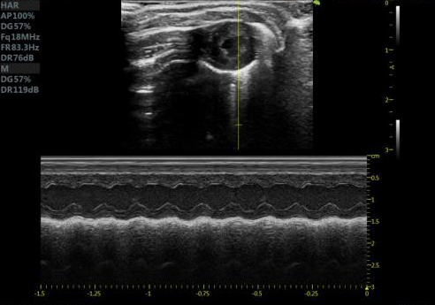
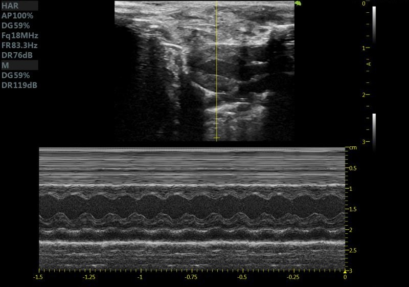
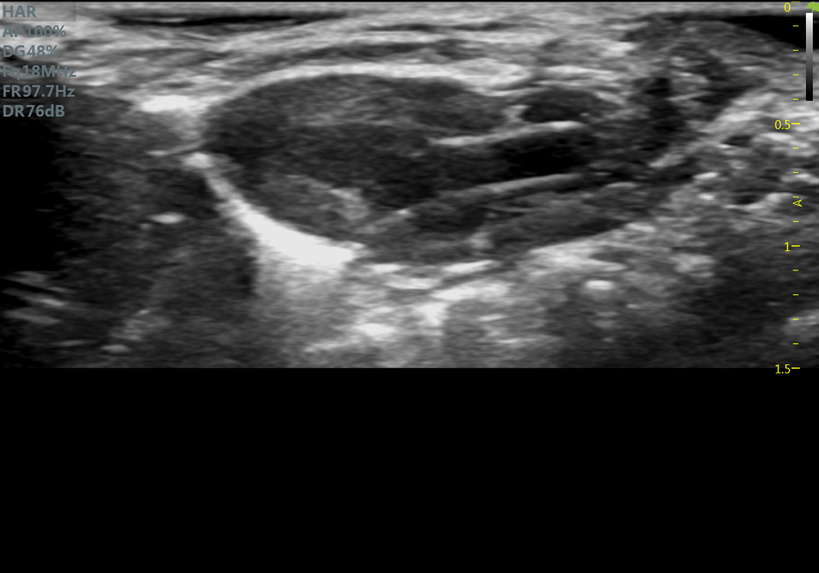
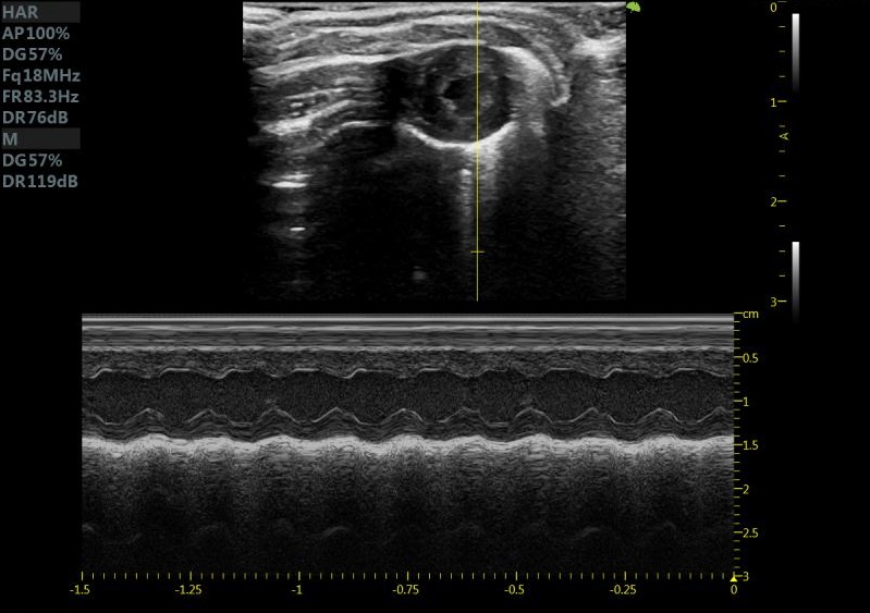
小鼠长轴M型 小鼠短轴M型

小鼠长轴B型 小鼠短轴B型

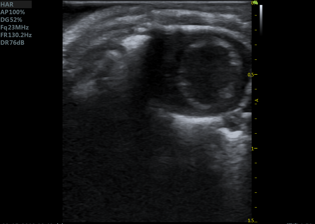
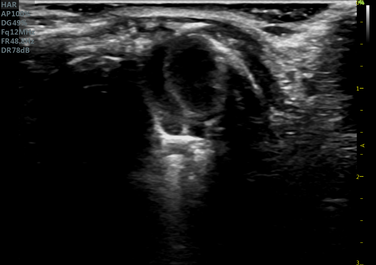
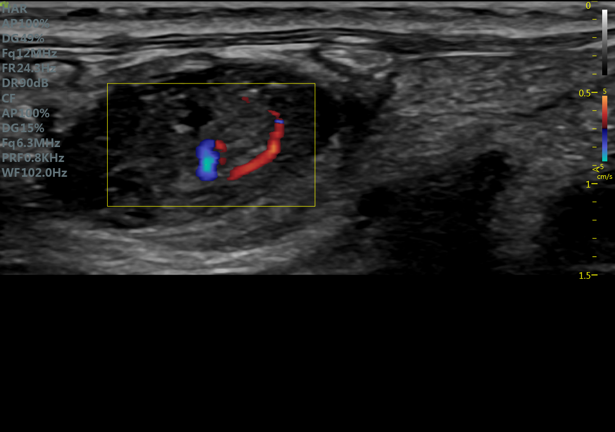
小鼠主动脉弓 小鼠肾脏血流

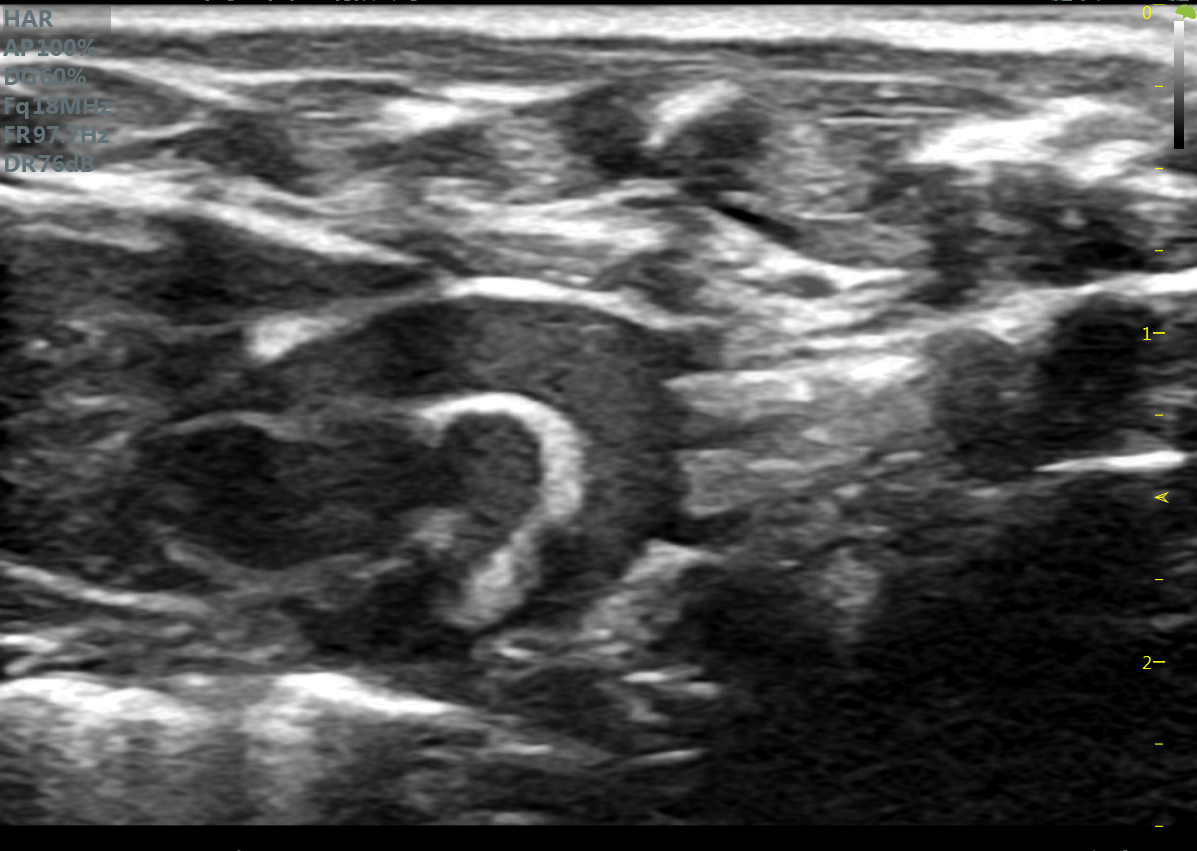
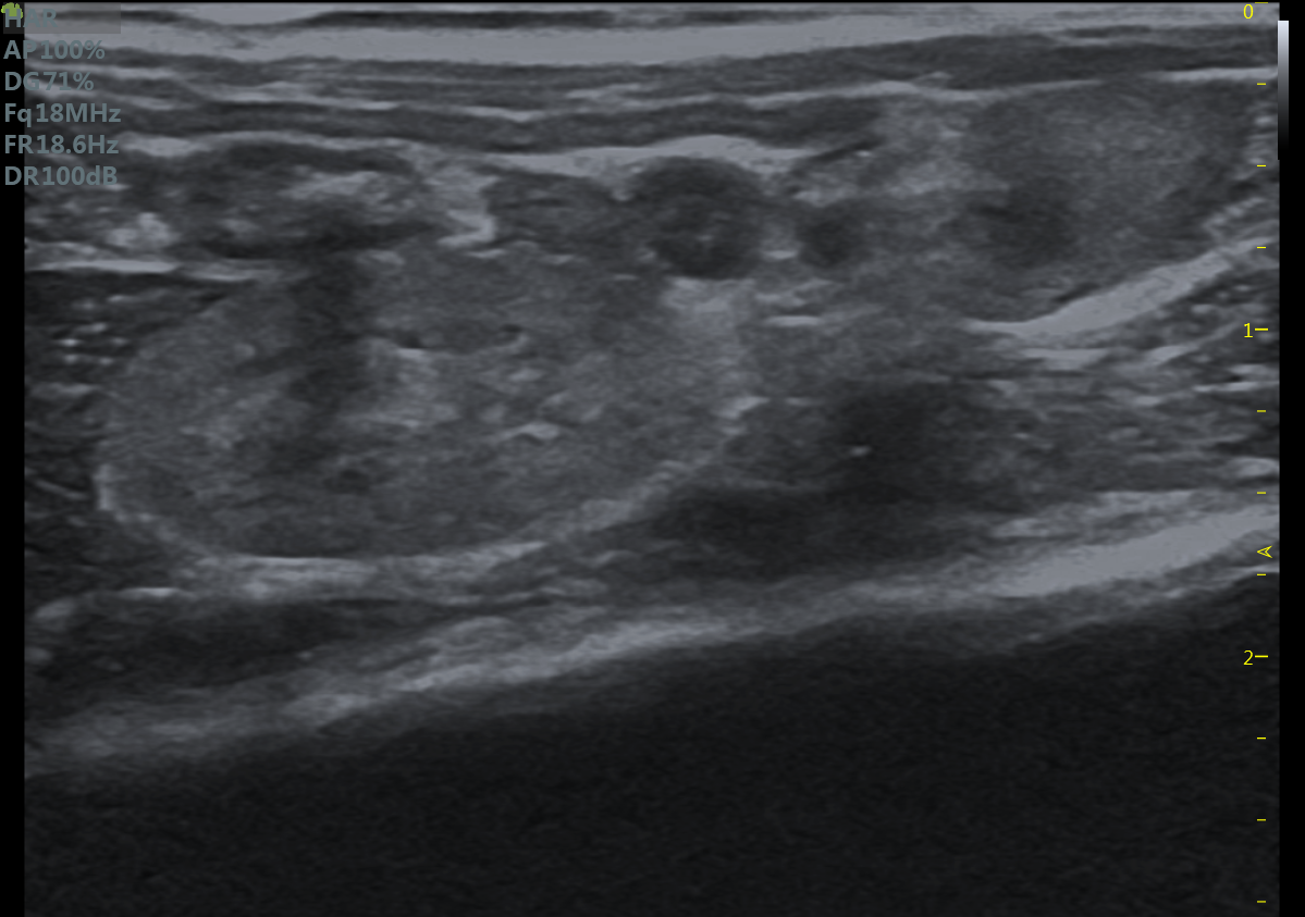
小鼠乳头肌水平 小鼠肝脏

大鼠短轴M型 大鼠长轴M型

大鼠长轴B型 大鼠主动脉弓

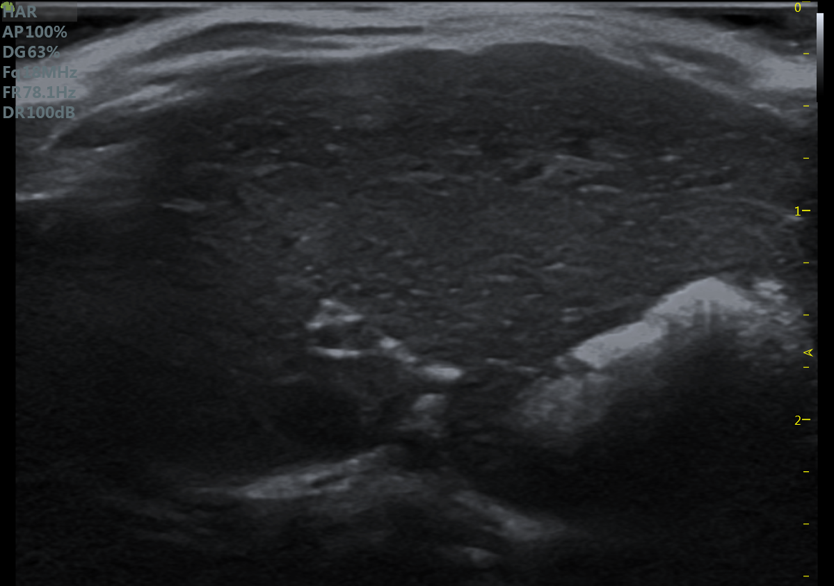
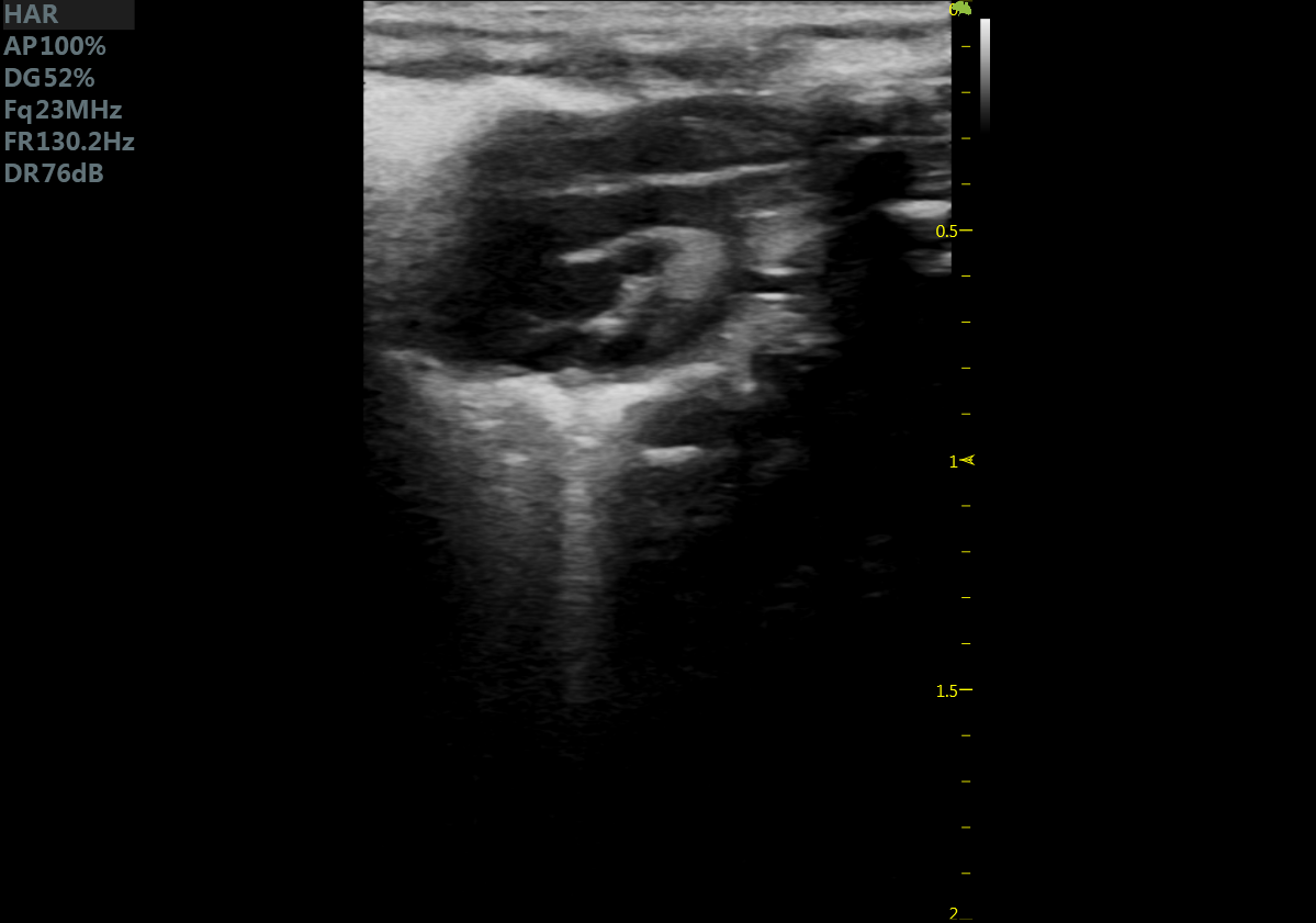
大鼠胎鼠心脏血流 大鼠心尖四腔

大鼠肝脏 大鼠肾脏

参考文献:
https://doi.org/10.1080/15548627.2020.1717128
https://www.frontiersin.org/articles/10.3389/fphar.2019.00538/full
