 
  
  【实验方法】你不知道的尼氏染色法
- 病理染色----尼氏染色法
- 北京百奥思科生物医学技术有限公司
- 河北省廊坊市
- 三个月以上
- 按需定制
- 议价
- 2022-10-10 14:13:17
北京百奥思科生物医学技术有限公司
一键申请试用
 咨询
 加入意向单
 联系方式
- 关键词
- 病理实验平台病理染色尼氏染色法实验外包
- 新鲜组织固定于10%中性福尔马林溶液48h后,常规脱水包埋;
- 切片厚6-8μm,常规脱蜡至水;
- 蒸馏水冲洗;
- 切片入Toluidine blue Stain,将染色缸置于恒温箱50-60°C侵染25-50min;
- 蒸馏水稍冲洗;
- 入70%乙醇冲洗;
- 95%乙醇迅速分化。分化不易控制,如果分化失败,可重复步骤4;
- 无水乙醇迅速脱水;
- 二甲苯透明,中性树胶封固;
- 显微镜下观察、拍照。
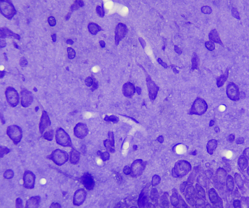
小鼠脑组织尼氏染色结果400X



