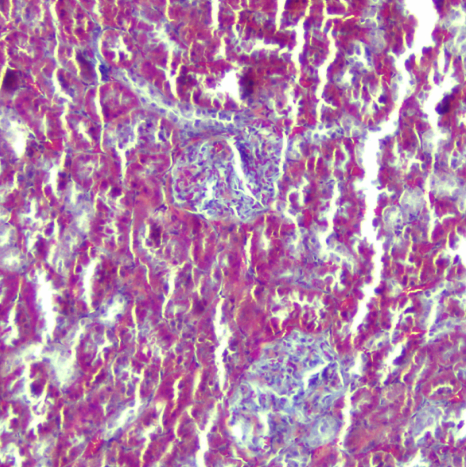
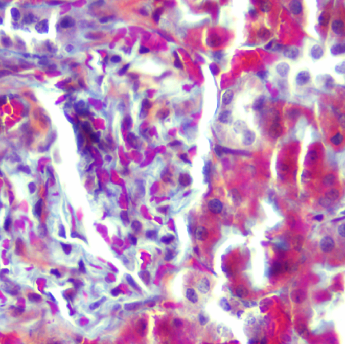
如何高效操作 Masson三色染色
- MDL-03
- 北京百奥思科生物医学技术有限公司
- 河北省廊坊市
- 三个月以上
- 按需定制
- 议价
- 2022-10-09 10:11:52
北京百奥思科生物医学技术有限公司
一键申请试用
咨询
加入意向单
联系方式
- 切片常规脱蜡至水;
- 用配制好的Weigert 铁苏木素染色液染色5 min-10 min;
- 充分水洗,如过染可盐酸酒精分化;
- Masson蓝化液返蓝3-5 min,水洗;
- 蒸馏水洗1 min;
- 丽春红品红染色液染色5-10 min;
- 在上述操作过程中按蒸馏水:弱酸溶液=2:1比例配置弱酸工作液,用弱酸工作液洗1 min;
- 1%磷钼酸溶液洗1-2 min;
- 用配置好的弱酸工作液洗1 min;
- 不经水洗直接放入苯胺蓝染色液中染色1-2 min;
- 用配置好的弱酸工作液洗1 min;
- 95%乙醇快速脱水;
- 无水乙醇脱水3次,每次5-10 s;
- 二甲苯透明3次,每次1-2 min;
- 中性树胶封固。
- 切片脱蜡应尽量干净。
- 组织固定起着非常重要的作用,使用不同的固定液可延长或缩短染色时间。
- 酸性乙醇分化时间应该依据切片薄厚,组织的类别和新旧而定。
- 弱酸溶液可使色彩更清晰鲜艳,如使用量大可自行配置 0.1-0.3%乙酸溶液予以替代。
- 磷钼酸分化时要在镜下控制,分化到胶原纤维呈淡红色、纤维呈红色即可。分化时间根据染色深浅而定,一般1-2min。


