 
   
  细胞粘附
- YZ-022
- 亚载生物
- 上海市
- 一个月内
- 按需定制
- 议价
- 2022-08-17 11:44:00
上海亚载生物科技有限公司
一键申请试用
 咨询
 加入意向单
 联系方式
实验介绍
胞黏附性是维持组织结构稳定性的基本条件,也是细胞运动和调节功能的基本因素,并对细胞增殖、分化具有一定的影响。
通常分为两类:即细胞与细胞黏附、细胞与基质黏附;机体内许多细胞,如上皮细胞需要固定在某处发生功能,另一些细胞,如白细胞活跃运动,就需要不断的调节细胞黏附。细胞的黏附性改变,在肿瘤的转移也发挥重要作用。恶性肿瘤具有从原发瘤及在体内扩散的能力,提示这些细胞之间的相互识别及相互之间黏附机制发生了改变。
实验步骤
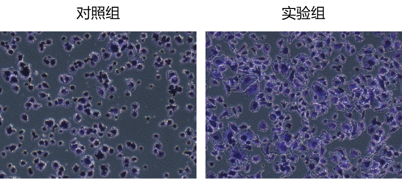
染色法检测细胞粘附性:染色法(氨基黑10B、结晶紫、苏木精、Giemsa染色法等)。
案例展示

实验完成周期及交付标准
1 .实验周期:一般周期为7-15个工作日,具体示工作量而定。
2. 交付标准:原始图片、统计学分析结果图和实验报告(试剂、耗材、实验报告和原始记录)等。
需确认的信息
1. 细胞样品是否需要进行处理以及样品的分组情况?
为你推荐
 
 
  
  
  
   
   
   
   
   
   
   
  