MSCgo™成脂诱导分化试剂
- 05-330/05-331/05-332
- 逍鹏生物
- 上海市
- 现货
- 100ml
- 2023-08-01 15:46:26
上海逍鹏生物科技有限公司
产品描述
MSCgo™Adipogenic Differentiation Medium间充质干细胞成脂诱导分化培养基,无血清,无异源成分,即用型,适用于不同来源的hMSC,如骨髓、脂肪组织和脐带组织(hMSC-BM,hMSC-AT,hMSC-CT)。
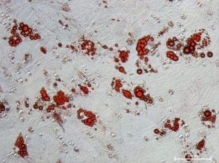
成脂结果
成脂分化后的hMSC会成球状,并且伴随有脂滴累积,该现象可透过倒置显微镜观察。不同的细胞来源 (类型、年龄、代数)所得到的分化细胞数会有差异。
培养基组成
MSCgo™间质干细胞成脂诱导分化培养基
|
产品描述 |
储存 |
货号 |
规格 |
|
MSCgo™ Adipogenic Differentiation Basal Medium |
2-8°C |
05-330-1B |
100ml |
|
MSCgo™ AdipogenicSF,XF Supplement Mix I |
-20°C |
05-331-1-01 |
0.1ml |
|
MSCgo™ AdipogenicSF,XF Supplement Mix II |
-20°C |
05-332-1-15 |
1.5ml |
完全分化培养基配制
1 室温下解冻2个Supplement Mix。
2 将0.1ml Supplement Mix I与 1.5ml Supplement Mix II 加入到100ml Adipogenic Basal Medium 中,于2-8°C储存。
3 完全培养基可在2-8°C储存一个月。
成脂实验所需材料
维持培养基
MSC NutriStem® XF Medium: BI;05-200-1,05-201-1
注:若您有MSC血清或者其他培养试剂也可使用。
MSC Attachment solution XF : BI;05-752-1
分化培养基
MSCgo™ Adipogenic Differentiation Medium:05-330-1 ,05-331-1,05-332-1
染色试剂(可选)
Oil Red O,Sigma;O0625。建议选择Vivacell品牌,间充质干细胞成脂分化染色试剂盒,货号:C37A0-0150。
成脂诱导分化操作
以维持培养基接种hMSC
1 用MSC Attachment solution (BI;P/N: 05-752-1,1:100 DPBS 稀释) 预包被24孔盘,每孔加入0.5ml MSC NutriStem® XF,接种6x104细胞(3x104 cells/cm2)。
此处仅为针对成脂诱导的细胞接种操作,MSC NutriStem® XF Medium详细操作步骤请参考其说明书。
2 置于37°C,5% CO2细胞培养箱中培养。
以成脂分化培养基诱导分化
1 培养24h后确认细胞融合度达到80-90%,将维持培养基吸除,每孔(24孔盘)加入0.5ml分化培养基。
注:若细胞融合度<80%,继续再培养一天。
2 置于37°C,5% CO2细胞培养箱中培养14-21天,期间培养基的换液请参照以下建议。
不同hMSC类型的培养基换液方法
不同来源的hMSC具有不同的多向分化潜能。例如,hMSC-AT所需的诱导期较短 (~ 6天),而hMSC-BM和hMSC-CT则需要约10天的诱导期。
不同来源干细胞有不同建议,请参考下面说明。
由于脂肪细胞是脆弱的,移液要非常小心,避免将液体直接加到脂肪细胞上。
细胞诱导完成后,使用维持培养基培养。
hMSC-AT(脂肪来源):
一个分化周期/分化培养基 ->维持培养基
l 使用完全分化培养基培养6-8天,期间每3-4天换液。
l 分化完成后,换液成维持培养基,继续培养3-4天。
l 观察到成熟脂肪细胞(即脂滴的形成),即可染色。

hMSC-BM(骨髓来源):
一个分化周期/分化培养基 ->维持培养基
l 使用完全分化培养基培养8-12天,期间每3-4天换液。
l 分化完成后,换液成维持培养基,继续培养3-4天。
l观察到成熟脂肪细胞(即脂滴的形成),即可染色。
hMSC-CT(脐带来源):
至少两个分化周期/分化培养基 ->维持培养基
l 使用完全分化培养基培养5-10天,期间每3-4天换液。
l 分化期间,若细胞开始变圆、不贴壁,换液成维持培养基,培养3-6天,每2-4天换液。
l 再重复诱导分化步骤,直到观察到成熟脂肪细胞(即脂滴的形成),即可染色。
