支原体检测试剂盒
- PV-myco
- 东岭生物
- 上海市
- 现货
- 100test
- 2970 元
- 2022-08-24 14:46:57
上海乐赛生物科技有限公司
在细胞培养中,良好的实验规范和定期检测支原体污染也十分必要。支原体检测的方法有很多种,如直接培养、DNA 荧光染色、ELISA和PCR法等。本产品主要采用PCR方法对各种生物材料(如细胞培养物、实验动物分泌物、动物血清等)支原体感染的检测。通过PCR方法检测培养细胞等生物材料中的支原体,所用引物为根据支原体16S-23S rRNA序列保守区域设计,只特异性扩增支原体 DNA,检出灵敏度与特异性均较高。PCR扩增及电泳分析只需数个小时,操作方便简单。
产品特点
►方法学:PCR法
►特点:灵敏、特异、快速,操作简便
产品成分
|
组分编号 |
组分名称 |
规格 |
储存条件 |
|
-A |
Green Taq Mix |
250µl |
-20℃ |
|
-B |
ddH2O |
250µl |
|
|
-C |
Positive Control Template |
50µl |
|
|
-D |
Primers |
50µl |
使用说明
(请详细阅读使用说明后再开始相关实验)
1.待测细胞连续传代3次或培养至两周;
2.细胞达到80% confluency或以上的时候,取1ml上清,进行低速离心(300g,5min,4℃);
3.离心结束后取950μl上清液,转移至新的无菌EP管中,以去除培养基中的细胞;
4.将上清液高速离心(12000g,10min,4℃),离心结束后,去除900μl上清,剩余50ul用以重悬沉淀(可能肉眼不可见);
5.将重悬好的沉淀放置4度冰箱,作为PCR的模板备用;
根据下表,配制PCR反应液
|
试剂 |
实验组 |
阳性对照 |
阴性对照 |
|
A |
12.5µl |
12.5µl |
12.5µl |
|
待测样品 |
5µl |
/ | / |
|
C |
/ |
5µl |
/ |
|
B |
5.5µl |
5.5µl |
10.5µl |
|
D |
2µl |
2µl |
2µl |
注:为防止Positive Control Template 污染,请将实验组和阴性对照组加完以后,最后再将C液加入阳性对照组
6.PCR程序
|
步骤 |
温度 |
反应时间 |
循环数 |
|
Step 1 |
95℃ |
5min |
1 |
|
Step 2 |
94℃ |
30s |
5 |
|
50℃ |
30s |
||
|
72℃ |
35s |
||
|
Step 3 |
94℃ |
15s |
23 |
|
56℃ |
15s |
||
|
72℃ |
30s |
||
|
Hold |
12℃ |
∞ |
/ |
7.制备DNA gel:称取一定量Argrose粉末,用1X TAE buffer配制成1.5%的DNA GEL;
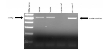
8.待PCR反应结束后,取8-10μl的PCR 反应液(无需要加 loading buffer)直接进行1.5%琼脂糖凝胶电泳,确认PCR扩增产物;
9.目的条带为518bp。示例如下:
推荐使用频率
|
新细胞进入实验室 |
必检 |
|
液氮保存前 |
必检 |
|
定期常规 |
每月一次 |
|
发现污染后 |
每周一次 |
|
发现细胞异常 |
随时检测 |
