HUVEC人脐静脉内皮细胞的培养
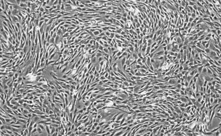
体外培养的血管内皮细胞已广泛应用于血管疾病、血管修复、肿瘤血管形成等基础研究及临床研究中。体外培养的血管内皮细胞,仍可保持血管内皮细胞的特征,如表达VIII因子、怀布尔-帕拉德小体(Weibel-Palade body ) 、内皮细胞特异性抗原和IV 型胶原等,还可在三维培养体系或特定诱导条件下形成血管样结构
体外培养的血管内皮细胞已广泛应用于血管疾病、血管修复、肿瘤血管形成等基础研究及临床研究中。体外培养的血管内皮细胞,仍可保持血管内皮细胞的特征,如表达VIII因子、怀布尔-帕拉德小体(Weibel-Palade body ) 、内皮细胞特异性抗原和IV 型胶原等,还可在三维培养体系或特定诱导条件下形成血管样结构。体外培养的血管内皮细胞生长形成单层后,会表现出接触抑制和密度限制,将停止生长。人们已成功培养了牛主动脉内皮、人脐静脉内皮、脑微血管、肺微血管、肝窦微血管及各种肿瘤组织中的血管内皮细胞。下面小海星就来介绍下最常用的人脐静脉血管内皮细胞的培养。
1. 设备 超净工作台、离心机、水浴锅、CO2培养箱、-10℃ 冰箱、-20℃冰箱。
2. 无菌材料 大培养皿、止血钳、静脉插管、500ml 大烧杯、消毒的蒸馏水、50ml 离心管、刻度吸管、弯头吸管、T25 培养瓶、广口试剂瓶、脐带(1根)、保鲜液(0.01% EDTA/DMEM, 4℃储藏)、高糖DMEM 培养液、胎牛血清、青/链霉素、D-Hanks 溶液、I 型胶原酶、VEGF 或ECGS 。

1. 产科无菌取脐带1 根, 置于含保鲜液的广口试剂瓶中4℃保存(避免污染),在最短的时间内,将脐带携入实验室,进行以下操作。
2. 在超净工作台或无菌层流工作台上,将脐带用D-Hank 溶液清洗干净,将静脉插管插入脐静脉中,并用丝线结扎、固定。
3. 用20ml 注射器将37℃ 的D-Hanks 溶液注入脐静脉,反复冲洗至清洗液无色澄清为止。
4. 用血管钳夹住脐静脉的另一端,并将0.2%的Ⅰ型或Ⅱ 型胶原酶(约20ml) 通过静脉插管注入脐静脉中, 至脐静脉完全充盈为止(排掉静脉管中的空气)。
5. 将脐带放置在盛有37℃水的玻璃烧杯中,在37°C 水浴条件下消化约20min(每5min 抽吸/注入1 次)。
6. 当酶液变成混浊时(在显微镜下可见大量游离细胞),将酶液在脐静脉中反复抽吸冲打3 次后,吸出并置于50ml 离心管中。
7. 细胞悬液经350g 离心5min 后,弃去上清液,并用D-Hanks 溶液清洗2次,然后再以350g 离心5min 。
8. 弃去上清液,将细胞溶于8ml 内皮细胞培养液(M l99 80ml、FBS 20ml 、PS 1ml 、L-Gln 2mM、ECGS 10mg/100ml 、Heparan 4000U/1 00ml 、Insulin mu/100ml)中,接种于预先包被2%明胶的T25 培养瓶中。
9. 细胞培养在37℃ 、5% CO2培养箱中, 24h 后换液,弃掉未贴壁细胞。之后每2~3d 换液1 次, 待细胞汇合时消化传代。
体外培养成功的细胞,需进行纯度鉴定。可提供检测其特性来鉴定,如表达Ⅷ 因子、Weibel-Palade 小体,摄取乙酰化低密度脂蛋白,表达内皮细胞特异性抗原CD31 等。
培养的脐静脉内皮细胞是使用最规范的体外血管内皮细胞模型。其培养已较成熟。但由于其传代有限,往往需不断重复培养。另外,培养脐静脉内皮细胞时,最好能添加VEGF 或ECGS, 以刺激血管内皮细胞增殖,可增加传代数,获得较多的血管内皮细胞用于研究。
1. 永生化的人脐静脉内皮细胞(HUVEC)培养注意要点:
(1)该细胞为有限传代细胞系,在体外培养可传20代。请注意代次控制;
(2)该细胞培养难度较高,建议使用专用培养基。
2. 永生化的人脐静脉内皮培养体系:内皮细胞基础培养基+5% FBS+1%内皮细胞培养添加剂+1% P/S。
推荐使用海星人脐静脉内皮细胞完全培养基,货号:TCH-G406。
3. 如选择使用其它品牌培养基,可选:
(1)内皮细胞基础培养基推荐:ScienCell(Cat.No.1001)
基本成分介绍:永生化的人脐静脉内皮培养体系是专门为血管内皮细胞体外培养设计的最适于其生长的完全培养基。包含必需和非必需氨基酸、维生素、有机和无机化合物、激素、生长因子、微量矿物质和低浓度胎牛血清(5%)。该培养基的配方能够选择性的促进正常血管内皮细胞体外培养中的增殖和生长,并为其达到最理想营养平衡状态。
(2)胎牛血清推荐:HyCyte™干细胞预筛选胎牛血清 (Cat.No.FBP-S001)
基本成分介绍:适用于有较高要求的细胞和较难获得的细胞,如血管内皮细胞。
(3)内皮细胞培养添加剂推荐:ScienCell(Cat.No.SC1052)
基本成分介绍:内皮细胞培养添加剂(ECGS)是一种从牛脑垂体提取的培养基补充剂,含有培养血管内皮细胞所必需的生长因子、激素和蛋白质。该补充剂最大限度地促进永生化的人脐静脉内皮细胞(HUVEC)的生长,该因子的添加对维持永生化的人脐静脉内皮细胞(HUVEC)形态至关重要。
注意:
请务必使用以上两种推荐培养体系进行永生化的人脐静脉内皮细胞(HUVEC)的培养,否则可能导致细胞无法增殖。
T25瓶细胞由于运输过程影响细胞会分泌产生的少量小黑点,不是污染问题,属正常现象,使用专用培养体系进行培养后黑点会逐步减少。
永生化的人脐静脉内皮细胞(HUVEC)对血清的品质要求较高,请使用高品质胎牛血清进行培养。如细胞状态欠佳,建议将胎牛血清的浓度提高到10%。
咨询
- 744
- 点赞
- 复制链接
- 举报
