小鼠成肌细胞C2C12培养技巧
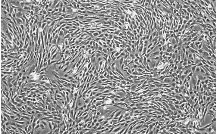
C2C12细胞株是YaffeD,SaxelO建立的小鼠成肌细胞系的亚株。该细胞分化较快,可形成能收缩的微管,产生特异的肌肉蛋白。在骨形态形成蛋白(BMP-2)的作用下,该细胞可由成肌细胞分化为成骨细胞。检测发现该细胞鼠痘病毒阴性。
C2C12细胞株是YaffeD,SaxelO建立的小鼠成肌细胞系的亚株。该细胞分化较快,可形成能收缩的微管,产生特异的肌肉蛋白。在骨形态形成蛋白(BMP-2)的作用下,该细胞可由成肌细胞分化为成骨细胞。检测发现该细胞鼠痘病毒阴性。
| 细胞复苏
溶解细胞过程要迅速;已溶解的冻存细胞不能在常温下存放太久,需要尽快离心去除DMSO。
| 细胞冻存
-
冻存条件
60%基础培养基+30%FBS+10%DMSO,液氮储存。
【推荐海星HyCyte™一步冻存液(即用型、无血清、无需程序降温)】
-
细胞冻存步骤
1.常规方法收集对数期的贴壁 细胞或悬浮细胞于离心管中。
2.按照培养细胞密度和所用细胞冻存管的大小计算所需冻存细胞数(参考数量: 5x10^5~ 5x10^6cells/mL)。
3.离心收集细胞。(参考离心条件: 4℃, 250g,离心4~6 min)。
4.收集培养细胞沉淀, 彻底弃去离心管中的上清液。
5.加入适量的HyCyte™ 一步冻存液于离心管中。轻柔地混匀细胞,制成细胞混合液。
6.将离心管中的细胞混合液分装于已标记的冻存管中,建议每管1 mL或1.5 mL。
7. 立即将冻存管直接置于-80°C冰箱中(直立放置)完成"一步"冻存操作, 24小时后移入液氮或者-80C长期保存。
细胞冻存时,尽量吹散细胞,注意控制吹打力度。
| 细胞培养条件
培养基:DMEM-H+10%FBS+1%P/S
推荐传代比例:1:3-1:6,每2-3天换液一次
培养条件:气相:95%空气+5%CO2,温度:37℃
| 传代操作
去掉培养皿中的培养基,加入PBS进行冲洗,并去上清;
加入胰酶进行润洗,并去上清;
放入CO2培养箱消化2-4min;
加入完全培养基终止消化,并吹打均匀。
| 常见问题
1. 为什么会出现空泡?
可能是铺板时铺得不够均匀,局部过于密集,密集地方的细胞就开始状态变差、空泡增多。也可能是血清差,需要更换优质血清,及时换液。
2. 为什么细胞长得慢?
可能是细胞接种得太少,细胞密度太低。可以先培养,然后消化重新铺瓶,提高密度培养。
3. 为什么细胞状态变差,容易漂?
可能是血清问题,建议换血清,并注意血清要程序解冻,不能水浴化开;也有可能是细胞生长密集,需要及时传代,并不是细胞长满才传代,当有个别地方长得过于密集,容易叠加的时候应该就要传代了。
| 注意事项
在培养过程中,保持细胞汇合度30%~90%
每一步操作都要轻柔小心,以免细胞受损
选用优质培养基,减少有害物质对细胞的刺激
咨询
- 564
- 点赞
- 复制链接
- 举报
