 
   
  活细胞成像仪
- yy-215
- 玉研仪器
- 上海市
- 现货
- 按需定制
- 议价
- 2023-01-05 15:39:35
上海玉研科学仪器有限公司
Curiosis公司根据以往丰富细胞生物学研究设备研发经验,开发了基于细胞培养箱的Celloger袖珍型活细胞培养设备,在细胞长时程培养的同时,实时/延时拍摄记录细胞发育状态,通过连续观察细胞动力学对细胞变化进行分析,广泛应用于细胞增值、迁移、死亡/凋亡、伤口愈合、细胞毒性、转染效果评估等研究领域。

 
型号:Celloger Nano
 功能特点
1.袖珍体型,高通量培养
Celloger系列活细胞成像设备是基于细胞培养箱开发设计的袖珍型设备,各款仪器均可良好放置于细胞培养箱中,其中Celloger Nano占地仅一张A4纸大小,标准CO2培养箱可容纳多台设备同时使用,适合活细胞高通量观测。 

 
  
2.单点/多点延时成像
Celloger成像设备采用单点/多点延时成像设计,通过在软件界面选取感兴趣区域(ROI),设备会通过载物台或摄像头依次移动至目标区域,进行相应拍摄。设备延迟拍摄时间和拍摄点位可自定义设置,方便实用。 

3.荧光成像,清晰显示 
 
 
4.用户友好型操作及统计
Celloger系列产品具备用户友好型操作及统计分析功能,自动对焦辅助用户快速找到最佳细胞成像平面,标尺等实用工具有助于用户有针对性的对目标进行数据测量和统计。另外,针对细胞增值/融合等研究,Celloger具备自动细胞融合度统计和生长曲线绘制功能,让客户更快了解细胞融合情况。

5.图像叠层与广域拼接 
Celloger Mini Plus活细胞成像系统具备独特的Z轴叠层和广域成像功能,能够从三维多个层面和方向对细胞图像进行采集,从而更好的观察细胞形态,获得更多的实验数据。 
 
  
 
应用示例 
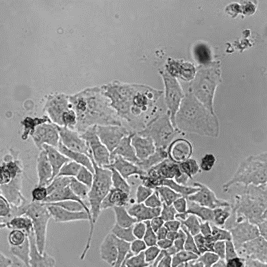
1.监控细胞形态 
 
 
迁移 
 
 
细胞死亡 
 
 
有丝分裂 
2.伤口愈合实验(细胞迁移) 

5天内每2小时拍摄Hela细胞 
3.转染效果评估 

4.细胞凋亡 

      
 
      
     
      
          
      
      
      

 
  
  
  
   
   
  
   
  