基质金属蛋白酶13抗体
- bs-10581R
- 北京博奥森
- 北京市
- 现货
- 50ul
- 100ul
- 200ul
- 议价
- 2023-10-19 09:38:36
北京博奥森生物技术有限公司
- 英文名称
- MMP13 Rabbit pAb
概述
Defects in MMP13 are the cause of metaphyseal anadysplasia type 1 (MANDP1) [MIM:602111]. Metaphyseal anadysplasia consists of an abnormal bone development characterized by severe skeletal changes that, in contrast with the progressive course of most other skeletal dysplasias, resolve spontaneously with age. Clinical characteristics are evident from the first months of life and include slight shortness of stature and a mild varus deformity of the legs. Patients attain a normal stature in adolescence and show improvement or complete resolution of varus deformity of the legs and rhizomelic micromelia.
Contains 4 hemopexin-like domains.
Entrez Gene: 4322 Human
Entrez Gene: 17386 Mouse
Omim: 600108 Human
SwissProt: P45452 Human
SwissProt: P33435 Mouse
Unigene: 2936 Human
Unigene: 5022 Mouse
Unigene: 10997 Rat
bs-0575P is one synthetic peptide derived from human MMP13.
Proteins of the matrix metalloproteinase (MMP) family are involved in the breakdown of extracellular matrix in normal physiological processes, such as embryonic development, reproduction, and tissue remodeling, as well as in disease processes, such as arthritis and metastasis. Most MMP's are secreted as inactive proproteins which are activated when cleaved by extracellular proteinases. The protein encoded by this gene cleaves type II collagen more efficiently than types I and III. It may be involved in articular cartilage turnover and cartilage pathophysiology associated with osteoarthritis. The gene is part of a cluster of MMP genes which localize to chromosome 11q22.3. [provided by RefSeq, Jul 2008].
应用
| 应用 | 推荐稀释比例 |
|---|---|
| ELISA | 1:5000-10000 |
| IF | 1:100-500 |
| IHC-F | 1:100-500 |
| IHC-P | 1:100-500 |
| WB | 1:500-2000 |
图片资料

Lane 1: Raw264.7 (Mouse) Cell Lysate at 30 ug
Lane 2: Jurkat (Human) Cell Lysate at 30 ug
Lane 3: MCF-7 (Human) Cell Lysate at 30 ug
Lane 4: Molt-4 (Human) Cell Lysate at 30 ug
Lane 5: A431 (Human) Cell Lysate at 30 ug
Primary: Anti-MMP13 (bs-10581RR) at 1/1000 dilution
Secondary: IRDye800CW Goat Anti-Rabbit IgG at 1/20000 dilution
Predicted band size: 60 kD
Observed band size: 60 kD

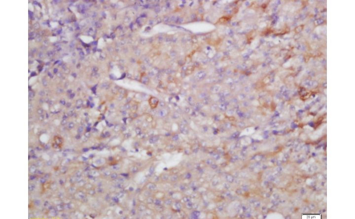
Antigen retrieval: citrate buffer ( 0.01M, pH 6.0 ), Boiling bathing for 15min; Block endogenous peroxidase by 3% Hydrogen peroxide for 30min; Blocking buffer (normal goat serum,C-0005) at 37℃ for 20 min;
Incubation: Anti-MMP-13 Polyclonal Antibody, Unconjugated(bs-10581R) 1:200, overnight at 4°C, followed by conjugation to the secondary antibody(SP-0023) and DAB(C-0010) staining

Antigen retrieval: citrate buffer ( 0.01M, pH 6.0 ), Boiling bathing for 15min; Block endogenous peroxidase by 3% Hydrogen peroxide for 30min; Blocking buffer (normal goat serum,C-0005) at 37℃ for 20 min;
Incubation: Anti-MMP-13 Polyclonal Antibody, Unconjugated(bs-10581R) 1:200, overnight at 4°C, followed by conjugation to the secondary antibody(SP-0023) and DAB(C-0010) staining


MG63(Human) Cell Lysate at 30 ug
Primary: Anti-MMP13 (bs-10581R) at 1/300 dilution
Secondary: IRDye800CW Goat Anti-Rabbit IgG at 1/20000 dilution
Predicted band size: 52 kD
Observed band size: 65 kD


