 
   
  免疫组织化学/免疫组化(IHC)
Immunohistochemistry
 - YMFX-015
- 北京亿鸣复兴实验类技术服务
- 北京市
- 一个月内
- 按需定制
- 议价
- 2022-11-30 17:48:28
北京亿鸣复兴生物科技有限公司
一键申请试用
 咨询
 加入意向单
 联系方式
- 英文名称
- Immunohistochemistry
- 关键词
- IHC免疫组化
★实验描述:
IHC是免疫组织化学(Immunohistochemistry)的简称,是以免疫学的抗原-抗体反应为理论基础,用标记的特异性抗体(抗原),对组织内的相应抗原(抗体)进行定位、定性和半定量检测,经组织化学显色反应,利用光镜、荧光显微镜或电子显微镜进行实验结果观察的一项技术。若该技术主要用于研究和观察细胞内的某些成分,又可称为ICC,即免疫细胞化学(Immunocytochemistry)。
IHC是免疫组织化学(Immunohistochemistry)的简称,是以免疫学的抗原-抗体反应为理论基础,用标记的特异性抗体(抗原),对组织内的相应抗原(抗体)进行定位、定性和半定量检测,经组织化学显色反应,利用光镜、荧光显微镜或电子显微镜进行实验结果观察的一项技术。若该技术主要用于研究和观察细胞内的某些成分,又可称为ICC,即免疫细胞化学(Immunocytochemistry)。
ABC法即抗生物素-生物素-过氧化物酶法,它的关键是ABC复合物,由一个卵白素分子结合3个生物素化的过氧化物酶分子构成。卵白素作为“桥”连接在生物素标记的过氧化物酶与生物素标记的抗体之间,于是形成一个含有3个以上过氧化物酶分子的网格状复合物,通过ABC复合物中卵白素与生物素化抗体结合,经过组织化学的酶显色反应,达到检测组织或细胞原位内抗原的目的。
SP法即链霉抗生物素-生物素法,与ABC法相似,不同的是链霉抗生物素蛋白与生物素化酶(HRP)结合,形成链霉抗生物素-生物素化酶复合物,这种复合物再与生物素标记的二抗结合,通过酶的显色反应检测抗原存在的部位。
★技术优势:
特异性高,敏感性高,方法步骤统一,形态、功能和代谢密切结合等方面。因此,IHC/ICC已成为临床病理不可或缺的辅助手段,尤其是根据该技术检测结果的表达水平所发展起来的相关“个体化治疗”方案,使免疫组化的质量及质控管理愈来愈受到高度重视。
★研究对象:
所有能作为抗原或者半抗原的物质,如蛋白质、多肽、核酸、酶、激素、磷脂、多糖以及病原体等,都可以成为它的研究对象。
★实验样本:
实验所用样本主要为组织标本和细胞标本两大类,前者包括石蜡切片(病理切片和组织芯片)和冰冻切片,后者包括组织印片、细胞爬片和细胞涂片。其中石蜡切片是 制作组织标本最常用、最基本的方法,对于组织形态保存好,且能作连续切片,有利于各种染色对照观察,是免疫组化中主要的组织标本制作方法。
★服务流程:
特异性高,敏感性高,方法步骤统一,形态、功能和代谢密切结合等方面。因此,IHC/ICC已成为临床病理不可或缺的辅助手段,尤其是根据该技术检测结果的表达水平所发展起来的相关“个体化治疗”方案,使免疫组化的质量及质控管理愈来愈受到高度重视。
★研究对象:
所有能作为抗原或者半抗原的物质,如蛋白质、多肽、核酸、酶、激素、磷脂、多糖以及病原体等,都可以成为它的研究对象。
★实验样本:
实验所用样本主要为组织标本和细胞标本两大类,前者包括石蜡切片(病理切片和组织芯片)和冰冻切片,后者包括组织印片、细胞爬片和细胞涂片。其中石蜡切片是 制作组织标本最常用、最基本的方法,对于组织形态保存好,且能作连续切片,有利于各种染色对照观察,是免疫组化中主要的组织标本制作方法。
★服务流程:
- 
- 
石蜡切片的制作;
- 
石蜡切片的脱蜡与水化;
- 
阻断内源性过氧化物酶活性;
- 
抗原修复;
- 
封闭非特异性蛋白;
- 
一抗孵育;
- 
具有生物素标记的二抗孵育;
- 
SP (链霉亲和素-过氧化物酶)反应;
- 
DAB 显色;
- 
复染、脱水、透明、封片;
- 
镜检,拍照。
 
- 
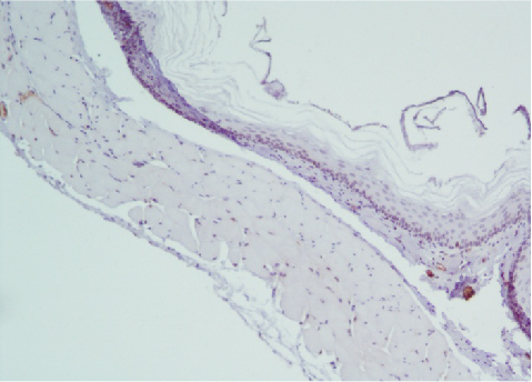
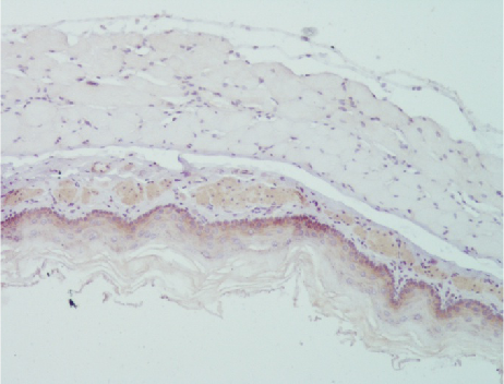
★数据处理展示:

★服务说明:
- 
- 
提供人或动物的新鲜或福尔马林固定的组织;石蜡包埋组织及处理好的玻片;细胞涂片、细胞爬片、组织冰冻切片、组织石蜡切片
- 
一抗须用户自行购买或委托我公司代购
- 
蛋白极易降解,直接影响实验质量,所以避免反复冻融
 
- 
★服务价格:
根据具体实验需求定价。
★其他服务项目:

根据具体实验需求定价。
★其他服务项目:
★项目一般流程:


 
  
  
 贸易有限公司/ELISA试剂盒-平台首图.png) 
  贸易有限公司/细胞因子-平台首图.png) 
  