Sample:
Liver (Mouse) Lysate at 40 ug
Heart (Mouse) Lysate at 40 ug
Primary: Anti-SIRT3 (bs-6105R) at 1/300 dilution
Secondary: IRDye800CW Goat Anti-Rabbit IgG at 1/20000 dilution
Predicted band size: 43 kD
Observed band size: 50 kD
线粒体乙酰化酶3抗体
SIRT3 Rabbit pAb
- bs-6105R
- 北京博奥森
- 北京市
- 现货
- 50ul
- 100ul
- 200ul
- 议价
- 2023-10-13 17:27:46
北京博奥森生物技术有限公司
一键申请试用
咨询
加入意向单
联系方式
- 英文名称
- SIRT3 Rabbit pAb
概述
产品编号
bs-6105R
产品分类
一抗
英文名称
SIRT3 Rabbit pAb
中文名称
线粒体乙酰化酶3抗体
英文别名
hSIRT3; hSIRT 3; hSIRT3; Mitochondrial nicotinamide adenine dinucleotide dependent deacetylase; NAD dependent deacetylase sirtuin 3 mitochondrial; NAD-dependent deacetylase sirtuin-3, mitochondrial; Silent mating type information regulation 2 S.cerevisiae homolog 3; Sir 2 like 3; SIR 2 like protein 3; SIR 3; SIR2 L3; Sir2 like 3; SIR2 like protein 3; SIR2-like protein 3; SIR2L3; SIRT 3; SIRT3_HUMAN; Sirtuin 3; Sirtuin silent mating type information regulation 2 homolog 3 (S. cerevisiae); Sirtuin type 3; Sirtuin3.
交叉反应
Mouse,Rat(predicted:Human,Dog,Pig,Rabbit)
抗体来源
Rabbit
免疫原
KLH conjugated synthetic peptide derived from human SIRT3
亚型
IgG
纯化方法
affinity purified by Protein A
克隆类型
Polyclonal
理论分子量
43kDa
浓度
1mg/ml
储存液
0.01M TBS(pH7.4) with 1% BSA, 0.03% Proclin300 and 50% Glycerol.
保存条件
Shipped at 4℃. Store at -20 °C for one year. Avoid repeated freeze/thaw cycles.
注意事项
This product as supplied is intended for research use only, not for use in human, therapeutic or diagnostic applications.
功能
NAD-dependent protein deacetylase. Activates mitochondrial target proteins, including ACSS1, IDH2 and GDH by deacetylating key lysine residues. Contributes to the regulation of the cellular energy metabolism. Important for regulating tissue-specific ATP levels.
亚基
Interacts with NDUFA9, ACSS1, IDH2 and GDH.
亚细胞定位
Mitochondrion matrix.
组织特异性
Widely expressed.
翻译后修饰
Processed by mitochondrial processing peptidase (MPP) to give a 28 kDa product. Such processing is probably essential for its enzymatic activity.
相似性
Belongs to the sirtuin family. Contains 1 deacetylase sirtuin-type domain.
数据库链接
背景资料
SIRT3 encodes a member of the sirtuin family of class III histone deacetylases, homologs to the yeast Sir2 protein. The encoded protein is found exclusively in mitochondria, where it can eliminate reactive oxygen species, inhibit apoptosis, and prevent the formation of cancer cells. SIRT3 has far-reaching effects on nuclear gene expression, cancer, cardiovascular disease, neuroprotection, aging, and metabolic control. [provided by RefSeq, May 2019]
应用
| 应用 | 推荐稀释比例 |
|---|---|
| ELISA | 1:5000-10000 |
| IF | 1:100-500 |
| IHC-F | 1:100-500 |
| IHC-P | 1:100-500 |
| WB | 1:500-2000 |
图片资料


Sample:
Liver (Mouse) Lysate at 40 ug
Kidney (Mouse) Lysate at 40 ug
Cerebrum (Mouse) Lysate at 40 ug
Heart (Mouse) Lysate at 40 ug
Primary: Anti-SIRT3 (bs-6105R) at 1/1000 dilution
Secondary: IRDye800CW Goat Anti-Rabbit IgG at 1/20000 dilution
Predicted band size: 43 kD
Observed band size: 43 kD
Liver (Mouse) Lysate at 40 ug
Kidney (Mouse) Lysate at 40 ug
Cerebrum (Mouse) Lysate at 40 ug
Heart (Mouse) Lysate at 40 ug
Primary: Anti-SIRT3 (bs-6105R) at 1/1000 dilution
Secondary: IRDye800CW Goat Anti-Rabbit IgG at 1/20000 dilution
Predicted band size: 43 kD
Observed band size: 43 kD

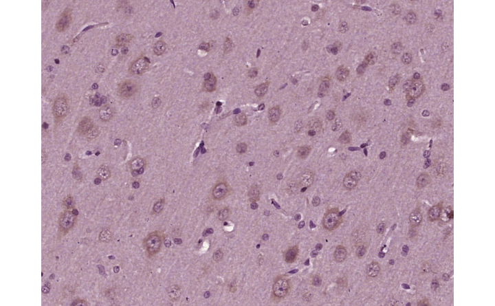
Paraformaldehyde-fixed, paraffin embedded (rat brain tissue); Antigen retrieval by boiling in sodium citrate buffer (pH6.0) for 15min; Block endogenous peroxidase by 3% hydrogen peroxide for 20 minutes; Blocking buffer (normal goat serum) at 37°C for 30min; Antibody incubation with (SIRT3) Polyclonal Antibody, Unconjugated (bs-6105R) at 1:400 overnight at 4°C, followed by operating according to SP Kit(Rabbit) (sp-0023) instructionsand DAB staining.


