

D-Dimer抗体
- FAB-H004
- 重庆探生
- 重庆市
- 现货
- 1件
- 0 元
- 2022-05-09 13:43:49
重庆探生科技有限公司
一键申请试用
咨询
加入意向单
联系方式

- 关键词
- D-Dimer抗体
背景信息:
D-二聚体又称为D-Dimer,是由人血浆中的纤维蛋白原经凝血酶、FactorXIIIa和钙离子的共同作用,形成交联纤维蛋白后,再由纤溶酶的降解所形成的交联纤维蛋白降解产物。D-二聚体作为体内交联纤维蛋白水解的标志性产物,其水平升高,表明体内存在着频繁的纤维蛋白降解过程。D-二聚体是深静脉血栓(DVT),肺栓塞(PE),弥漫性血管内凝血(DIC)的关键指标。它以其高度的敏感性和阴性预示能力,显示其具有良好的临床应用价值。
临床意义:
•深静脉血栓(DVT)、肺栓塞(PE)的排除诊断
•心梗、脑梗的诊疗和评估
•弥散性血管内凝血(DIC)的诊断
探生D-dimer抗原抗体:



探生D-dimer抗体特异性:

D-dimer抗体特异性鉴定


ELISA检测D-dimer抗体效价,特异性及交叉情况


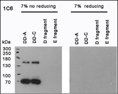
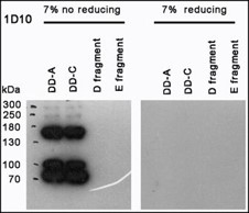
D-dimer抗体1C6和1D10特异性鉴定,免疫印迹检测
探生D-dimer抗体性能测试:


图一:探生DD:1C6-1D10配对抗体测ELISA平台测试抗原和西门子样本线性和相关性良好

图二:探生DD:1C6-1D10配对抗体在荧光层析平台测试西门子样本相关性良好

图三:探生DD:1C6-1D10配对抗体在荧光层析平台测试沃芬样本相关性良好
