抗proBDNF抗体
- AT021
- 易锦生物
- 广东省广州市
- 现货
- 按需
- 议价
- 2023-04-28 16:16:24
广州易锦生物技术有限公司
一键申请试用
咨询
加入意向单
联系方式
抗proBDNF抗体
GeneCopoeia's 提供的抗人前脑源性神经营养因子(Human proBDNF)抗体是由小鼠单克隆抗体制得。本抗体对人前脑源性神经营养因子(proBDNF)高度特异,不识别成熟的BDNF。
免疫原
纯化的GST-前区蛋白可用于制备免疫小鼠及筛选杂交瘤克隆。mAb287克隆从初期筛选获得,并使用相关的重组蛋白、神经元、脑细胞溶解产物及来自bdnf KO或野生型同窝仔畜(如下方数据所示)的切片作进一步鉴定。
特异性
本抗proBDNF抗体只识别人的前BDNF,不识别成熟的BDNF。
产品应用
Western blot、免疫共沉淀、免疫染色及亲和纯化。
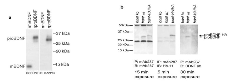
Figure 1. 对抗前体抗体的鉴定. (a) Western blot蛋白印迹鉴定mAb287单克隆抗体的免疫特异性。运用SDSPAGE及带有抗成熟BDNF抗体。(N-20, Santa Cruz) (左泳道所示)的探针,及带有mAb287单克隆抗体的探针(右泳道所示),将纯化的重组成熟BDNF(50 ng)和纯化的重组proBDNF(50 ng)分离。(b) 使用mAb287抗体对脑细胞溶解产物中的proBDNF进行检测。bdnf -/-、bdnf +/+ 和 bdnf-HA/HA 小鼠的海马体细胞溶解产物与mAb287进行免疫共沉淀。使用SDS-PAGE分离条带后,使用前文的抗mAb287、抗HA.11或抗成熟BDNF抗体对其进行免疫共沉淀。缺失的前体条带如图所标示,和理论条带大小一致,为14至16 kDa。产品订购
|
货号
|
产品
|
描述
|
价格(¥)
|
|
|
AT021
|
Anti-Human proBDNF Antibody
|
Mouse monoclonal antibody specific for the prodomain of human brain-derived neurotrophic factor (proBDNF).
|
2700
|
|
