Tissue/cell: human kidney tissue;4% Paraformaldehyde-fixed and paraffin-embedded;
Antigen retrieval: citrate buffer ( 0.01M, pH 6.0 ), Boiling bathing for 15min; Blocking buffer (normal goat serum,C-0005) at 37℃ for 20 min;
Incubation: Anti-Mitofusin-2 Polyclonal Antibody, Unconjugated(bs-2988R) 1:200, overnight at 4°C; The secondary antibody was Goat Anti-Rabbit IgG, FITC conjugated(bs-0295G-FITC)used at 1:200 dilution for 40 minutes at 37°C.
线粒体融合蛋白Mfn2抗体
Mitofusin 2 Rabbit pAb
- bs-2988R
- 北京博奥森
- 北京市
- 现货
- 50ul
- 100ul
- 200ul
- 议价
- 2023-10-13 11:11:13
北京博奥森生物技术有限公司
一键申请试用
咨询
加入意向单
联系方式
- 英文名称
- Mitofusin 2 Rabbit pAb
概述
产品编号
bs-2988R
产品分类
一抗
产品类型
质检1级
英文名称
Mitofusin 2 Rabbit pAb
中文名称
线粒体融合蛋白Mfn2抗体
英文别名
CMT2A; CMT2A2; MARF; CPRP 1; CPRP1; Fzo; HSG; hyperplasia suppressor gene; Hypertension related protein 1; MFN 2; Mfn2; MFN2_HUMAN; Mitochondrial assembly regulatory factor; Mitofusin-2; Mitofusin2; Transmembrane GTPase MFN2.
交叉反应
Human,Mouse,Rat(predicted:Chicken,Dog,Pig,Cow,Horse)
抗体来源
Rabbit
免疫原
KLH conjugated synthetic peptide derived from human Mitofusin 2
亚型
IgG
纯化方法
affinity purified by Protein A
克隆类型
Polyclonal
理论分子量
83kDa
浓度
1mg/ml
储存液
0.01M TBS(pH7.4) with 1% BSA, 0.03% Proclin300 and 50% Glycerol.
保存条件
Shipped at 4℃. Store at -20 °C for one year. Avoid repeated freeze/thaw cycles.
功能
亚基
Forms homomultimers and heteromultimers with MFN1.
亚细胞定位
Mitochondrion outer membrane; Multi-pass membrane protein.
组织特异性
Ubiquitous; expressed at low level. Highly expressed in heart and kidney.
疾病
Defects in MFN2 are the cause of Charcot-Marie-Tooth disease type 2A2 (CMT2A2) [MIM:609260]. CMT2A2 is a form of Charcot-Marie-Tooth disease, the most common inherited disorder of the peripheral nervous system. Charcot-Marie-Tooth disease is classified in two main groups on the basis of electrophysiologic properties and histopathology: primary peripheral demyelinating neuropathy or CMT1, and primary peripheral axonal neuropathy or CMT2. Neuropathies of the CMT2 group are characterized by signs of axonal regeneration in the absence of obvious myelin alterations, normal or slightly reduced nerve conduction velocities, and progressive distal muscle weakness and atrophy. Defects in MFN2 are the cause of Charcot-Marie-Tooth disease type 6 (CMT6) [MIM:601152]; also referred to as autosomal dominant hereditary motor and sensory neuropathy VI (HMSN6). CMT6 is an autosomal dominant form of axonal CMT associated with optic atrophy.
相似性
Belongs to the mitofusin family.
数据库链接
Entrez Gene: 9927 Human
Entrez Gene: 170731 Mouse
SwissProt: O95140 Human
SwissProt: Q80U63 Mouse
Unigene: 376681 Human
背景资料
This gene encodes a mitochondrial membrane protein that participates in mitochondrial fusion and contributes to the maintenance and operation of the mitochondrial network. This protein is involved in the regulation of vascular smooth muscle cell proliferation, and it may play a role in the pathophysiology of obesity. Mutations in this gene cause Charcot-Marie-Tooth disease type 2A2, and hereditary motor and sensory neuropathy VI, which are both disorders of the peripheral nervous system. Defects in this gene have also been associated with early-onset stroke. Two transcript variants encoding the same protein have been identified. [provided by RefSeq, Jul 2008].
应用
| 应用 | 推荐稀释比例 |
|---|---|
| ELISA | 1:5000-10000 |
| IF | 1:100-500 |
| IHC-F | 1:100-500 |
| IHC-P | 1:100-500 |
| WB | 1:500-2000 |
图片资料


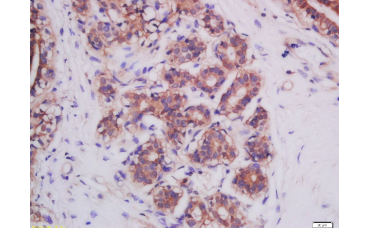
Tissue/cell: human breast cancer; 4% Paraformaldehyde-fixed and paraffin-embedded;
Antigen retrieval: citrate buffer ( 0.01M, pH 6.0 ), Boiling bathing for 15min; Block endogenous peroxidase by 3% Hydrogen peroxide for 30min; Blocking buffer (normal goat serum,C-0005) at 37℃ for 20 min;
Incubation: Anti-Mitofusin 2 Polyclonal Antibody, Unconjugated(bs-2988R) 1:200, overnight at 4°C, followed by conjugation to the secondary antibody(SP-0023) and DAB(C-0010) staining
Antigen retrieval: citrate buffer ( 0.01M, pH 6.0 ), Boiling bathing for 15min; Block endogenous peroxidase by 3% Hydrogen peroxide for 30min; Blocking buffer (normal goat serum,C-0005) at 37℃ for 20 min;
Incubation: Anti-Mitofusin 2 Polyclonal Antibody, Unconjugated(bs-2988R) 1:200, overnight at 4°C, followed by conjugation to the secondary antibody(SP-0023) and DAB(C-0010) staining

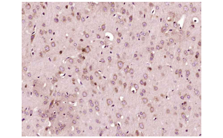
Paraformaldehyde-fixed, paraffin embedded (Mouse brain); Antigen retrieval by boiling in sodium citrate buffer (pH6.0) for 15min; Block endogenous peroxidase by 3% hydrogen peroxide for 20 minutes; Blocking buffer (normal goat serum) at 37°C for 30min; Antibody incubation with (Mitofusin 2) Polyclonal Antibody, Unconjugated (bs-2988R) at 1:400 overnight at 4°C, followed by operating according to SP Kit(Rabbit) (sp-0023) instructionsand DAB staining.

Sample:
Lane 1: Mouse Muscle tissue lysates
Lane 2: Mouse Cerebrum tissue lysates
Lane 3: Rat Muscle tissue lysates
Lane 4: Rat Cerebrum tissue lysates
Primary: Anti- Mitofusin 2 (bs-2988R) at 1/1000 dilution
Secondary: IRDye800CW Goat Anti-Rabbit IgG at 1/20000 dilution
Predicted band size: 83 kD
Observed band size: 77 kD
Lane 1: Mouse Muscle tissue lysates
Lane 2: Mouse Cerebrum tissue lysates
Lane 3: Rat Muscle tissue lysates
Lane 4: Rat Cerebrum tissue lysates
Primary: Anti- Mitofusin 2 (bs-2988R) at 1/1000 dilution
Secondary: IRDye800CW Goat Anti-Rabbit IgG at 1/20000 dilution
Predicted band size: 83 kD
Observed band size: 77 kD

Sample:
Cerebrum (Mouse) Lysate at 40 ug
Primary: Anti-Mitofusin 2 (bs-2988R) at 1/1000 dilution
Secondary: IRDye800CW Goat Anti-Rabbit IgG at 1/20000 dilution
Predicted band size: 83 kD
Observed band size: 68 kD
Cerebrum (Mouse) Lysate at 40 ug
Primary: Anti-Mitofusin 2 (bs-2988R) at 1/1000 dilution
Secondary: IRDye800CW Goat Anti-Rabbit IgG at 1/20000 dilution
Predicted band size: 83 kD
Observed band size: 68 kD


