猪肾细胞
PK-15
- BNCC339308
- BNCC
- 北京市
- 现货
- 按需
- 议价
- 2023-10-24 16:52:22
北京北纳创联生物技术研究院
一键申请试用
咨询
加入意向单
联系方式
- 英文名称
- PK-15
猪肾细胞基本信息
| 培养基 | EMEM完全培养基:90%EMEM+10%FBS |
| 传代方法 | 复苏步骤:①冻存管从液氮或-80℃冰箱中取出放入PE手套中,迅速没入37℃水浴锅,摇晃冻存管加速溶解,以1min内全部溶解为宜;②在超净台中将溶解好的细胞液加入到装有9mL完全培养基的离心管内,1000-1200rpm离心5min,弃去上清液,用1-2mL完全培养基重悬细胞。③将细胞悬液加入到含有5-6mL完全培养基的T25瓶中,放入培养箱培养。 细胞传代:①将旧培养液吸除,PBS清洗两遍后,加入1-2mL胰酶(0.25%Trypsin+0.02%EDTA);②镜下观察消化情况,在细胞边缘缩小,贴壁松动时(可用吸管吸起些许胰酶轻轻吹打细胞层某处,肉眼可见细胞层脱落,即消化完成,否则继续消化),直接吸掉胰酶,加入5-6mL完全培养基,轻轻吹打细胞层,把细胞层吹落,吹散。③将细胞悬液按1:2比例分到新的T25瓶中,添加适当的完全培养基,把细胞悬液打匀,于培养箱中培养。;④注意培养基pH值变化和细胞密度,定期换液(每周2-3次),待细胞密度达到80%-90%时,重复传代操作或者冻存。 |
| 生长条件 | 培养温度37℃;气体环境5%CO2+95%空气; |
| 生长特性 | 贴壁生长 |
| 存储条件 | 液氮 |
| 安全等级 | 1 |
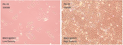
| 形态 | 上皮细胞样,短梭形,边缘整齐 |
| 应用领域 | 背景资料: PK-15细胞是由Stice-E建 系于1955年; PK-15细胞是PK-1 a细胞的克隆系,PK-15细胞可用于多种病毒的增值及特性研究。另外,电镜观察发现,PK- 15细胞内有C-型病毒颗粒存在,是研究C型病毒的材料。 |
| 共享方式 | 公益性共享 |
支原体检测 |
为你推荐

