Tissue/cell: rat ovary tissue; 4% Paraformaldehyde-fixed and paraffin-embedded;
Antigen retrieval: citrate buffer ( 0.01M, pH 6.0 ), Boiling bathing for 15min; Block endogenous peroxidase by 3% Hydrogen peroxide for 30min; Blocking buffer (normal goat serum,C-0005) at 37℃ for 20 min;
Incubation: Anti-Wnt3a Polyclonal Antibody, Unconjugated(bs-1700R) 1:200, overnight at 4°C, followed by conjugation to the secondary antibody(SP-0023) and DAB(C-0010) staining
信号通路Wnt3a抗体
Wnt3a Rabbit pAb
- bs-1700R
- 北京博奥森
- 北京市
- 现货
- 50ul
- 100ul
- 200ul
- 议价
- 2023-10-16 11:28:20
北京博奥森生物技术有限公司
一键申请试用
咨询
加入意向单
联系方式
- 英文名称
- Wnt3a Rabbit pAb
概述
产品编号
bs-1700R
产品分类
一抗
英文名称
Wnt3a Rabbit pAb
中文名称
信号通路Wnt3a抗体
英文别名
MGC119418; MGC119419; MGC119420; Protein Wnt 3a Precursor; Protein Wnt-3a; Wingless type MMTV integration site family member 3A; Wnt 3a; WNT3A protein.
交叉反应
Human,Mouse,Rat(predicted:Pig)
抗体来源
Rabbit
免疫原
KLH conjugated synthetic peptide derived from human Wnt3a
亚型
IgG
纯化方法
affinity purified by Protein A
克隆类型
Polyclonal
理论分子量
37kDa
浓度
1mg/ml
储存液
0.01M TBS(pH7.4) with 1% BSA, 0.03% Proclin300 and 50% Glycerol.
保存条件
Shipped at 4℃. Store at -20 °C for one year. Avoid repeated freeze/thaw cycles.
功能
Ligand for members of the frizzled family of seven transmembrane receptors. Wnt-3 and Wnt-3a play distinct roles in cell-cell signaling during morphogenesis of the developing neural tube.
亚基
Interacts with PORCN. Interacts with APCDD1 and WLS. Component of the Wnt-Fzd-LRP5-LRP6 signaling complex that contains a WNT protein, a FZD protein and LRP5 or LRP6. Interacts directly in the complex with LRP6.
亚细胞定位
Secreted, extracellular space, extracellular matr
组织特异性
Moderately expressed in placenta and at low levels in adult lung, spleen, and prostate.
翻译后修饰
Palmitoylation at Ser-209 by PORCN is required for proper trafficking to cell surface, vacuolar acidification is critical to release palmitoylated WNT3A from WLS in secretory vesicles.
相似性
Belongs to the Wnt family.
数据库链接
Entrez Gene: 89780 Human
Entrez Gene: 22416 Mouse
Omim: 606359 Human
SwissProt: P56704 Human
SwissProt: P27467 Mouse
Unigene: 336930 Human
Unigene: 1367 Mouse
Unigene: 130971 Rat
背景资料
The WNT gene family consists of structurally related genes which encode secreted signaling proteins. These proteins have been implicated in oncogenesis and in several developmental processes, including regulation of cell fate and patterning during embryogenesis. This gene is a member of the WNT gene family. It encodes a protein which shows 96% amino acid identity to mouse Wnt3A protein, and 84% to human WNT3 protein, another WNT gene product. This gene is clustered with WNT14 gene, another family member, in chromosome 1q42 region. [provided by RefSeq, Jul 2008]
应用
| 应用 | 推荐稀释比例 |
|---|---|
| ELISA | 1:5000-10000 |
| IF | 1:100-500 |
| IHC-F | 1:100-500 |
| IHC-P | 1:100-500 |
| WB | 1:500-2000 |
图片资料


Sample:
Brain(Rat) lysate at 30ug;
Uterus(Mouse ) lysates, 30ug;
Primary: Anti-Wnt3a (bs-1700R) at 1:200 dilution;
Secondary: HRP conjugated Goat-Anti-Rabbit IgG(bse-0295G) at 1: 3000 dilution;
Predicted band size : 37kD
Observed band size : 37kD
Brain(Rat) lysate at 30ug;
Uterus(Mouse ) lysates, 30ug;
Primary: Anti-Wnt3a (bs-1700R) at 1:200 dilution;
Secondary: HRP conjugated Goat-Anti-Rabbit IgG(bse-0295G) at 1: 3000 dilution;
Predicted band size : 37kD
Observed band size : 37kD

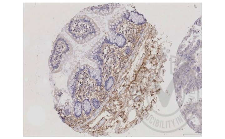
Images provided the Independent Validation Program (badge number 029652)Formalin-fixed and paraffin embedded human small intestine labeled with Rabbit Anti-Wnt3a Polyclonal Antibody (bs-1700R) at 1:250 overnight at room temperature followed by conjugation to secondary antibody.

Sample:
U2os Cell(Human)Lysate at 30 ug
Primary: Anti- Wnt3a (bs-1700R)at 1/300 dilution
Secondary: IRDye800CW Goat Anti-Rabbit IgG at 1/20000 dilution
Predicted band size: 37kD
Observed band size: 37kD
U2os Cell(Human)Lysate at 30 ug
Primary: Anti- Wnt3a (bs-1700R)at 1/300 dilution
Secondary: IRDye800CW Goat Anti-Rabbit IgG at 1/20000 dilution
Predicted band size: 37kD
Observed band size: 37kD


