StarLighter 热启动 Taq Pro DNA 聚合酶
- FS-P3001
- 启衡星
- 北京市
- 现货
- 100U
- 300 元
- 2023-11-23 13:57:10
北京启衡星生物科技有限公司
- 英文名称
- StarLighter HotStart Taq Pro DNA Polymerase
StarLighter HotStart PCR Mix 是一款超高性能热启动 DNA 聚合酶配置的即用型 PCR Mix,优化的缓冲体系可以高效扩增复杂、困难的样本。有两种 PCR Mix 可供选择,分为含 Loading Dye 和不含 Loading Dye 两款,含 Loading Dye 的 Mix 在 PCR 扩增后无需加 Loading buffer 可直接凝胶电泳点样,便于电泳操作,同时不影响扩增效率。
该 PCR Mix 中的聚合酶使用抗体进行封闭, 90℃ 以上 30 s 即可恢复酶活性。该酶催化 5’→3’方向合成 DNA,有 5’→3’外切酶活性,无 3’→5’校正外切酶活性。本产品在扩增产物具有 3’-dA 突出末端,扩增速度 1-10 s/kb。
产品优势
1. 扩增效率高;
2. 抗抑制性能好;
3. 扩增速度快。
产品应用
1. 基因分型;
2. 转基因检测;
3. 敲除分析。
产品性能
扩增效率好,特异性高。
针对不同的扩增产物长度以及 GC 含量,与市面其他供应商试剂盒相比,启衡星 PCR Mix 表现出超好的扩增效率与 扩增特异性。
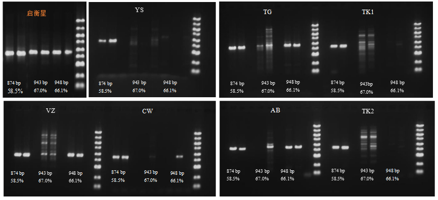
Fig.1A
Fig.1B
Fig.1 以 20 ng 人 gDNA 为模板,分别用启衡星和其他供应商 PCR Mix 对 6 对引物(扩增产物 400-950 bp)扩增 35 个循环,PCR 产物的电泳结果如图。扩增产物长度及 GC% 如上图所示,供应商 VZ、TG、CW、AB、YS、TK1 和 TK2 试剂有非特异扩增或未扩增。\

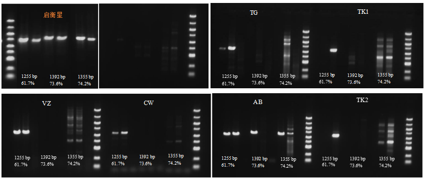
Fig.2 以 20 ng 人 gDNA 为模板,分别用启衡星和其他供应商 PCR Mix 对 3 对引物(扩增产物 1200-1400 bp)扩增 35 个循环,PCR 产物的电泳结果如图。扩增产物长度及 GC% 如上图所示,供应商 VZ、TG、CW、AB、YS、TK1 和 TK2 试剂有非特异扩增或未扩增。
Fig.3 以 20 ng 人 gDNA 为模板,分别用启衡星和其他供应商 PCR Mix 对 4 对引物(扩增产物 2000-3000 bp)扩增 35 个循环,PCR 产物的电泳结果如图。扩增产物长度及 GC% 如上图所示,供应商 VZ、TG、CW、AB、YS、TK1 和 TK2 试剂有非特异扩增或未扩增。
