白介素6抗体
IL-6
- bs-6309R
- 北京博奥森
- 北京市
- 现货
- 按需
- 议价
- 2023-10-18 10:04:35
北京博奥森生物技术有限公司
一键申请试用
咨询
加入意向单
联系方式
- 英文名称
- IL-6
- 别名
- Interleukin BSF 2; B cell differentiation factor; B cell stimulatory factor 2; BSF 2; BSF2; CDF; CTL differentiation factor; Cytotoxic T cell differentiation factor; Hepatocyte stimulating factor; HGF
| 研究领域 | 肿瘤 细胞生物 生长因子和激素 转录调节因子 |
| 抗体来源 | Rabbit |
| 克隆类型 | Polyclonal |
| 交叉反应 | Human, Mouse, Rat, |
| 产品应用 | WB=1:500-2000 ELISA=1:5000-10000 IHC-P=1:100-500 IHC-F=1:100-500 IF=1:100-500 (石蜡切片需做抗原修复) not yet tested in other applications. optimal dilutions/concentrations should be determined by the end user. |
| 理论分子量 | 23kDa |
| 细胞定位 | 分泌型蛋白 |
| 性 状 | Liquid |
| 浓 度 | 1mg/ml |
| 免 疫 原 | KLH conjugated synthetic peptide derived from mouse IL-6: 171-211/211 |
| 亚 型 | IgG |
| 纯化方法 | affinity purified by Protein A |
| 缓 冲 液 | 0.01M TBS(pH7.4) with 1% BSA, 0.03% Proclin300 and 50% Glycerol. |
| 保存条件 | Shipped at 4℃. Store at -20 °C for one year. Avoid repeated freeze/thaw cycles. |
| 注意事项 | This product as supplied is intended for research use only, not for use in human, therapeutic or diagnostic applications. |
| PubMed | PubMed |
| 产品介绍 | This gene encodes a cytokine that functions in inflammation and the maturation of B cells. In addition, the encoded protein has been shown to be an endogenous pyrogen capable of inducing fever in people with autoimmune diseases or infections. The protein is primarily produced at sites of acute and chronic inflammation, where it is secreted into the serum and induces a transcriptional inflammatory response through interleukin 6 receptor, alpha. The functioning of this gene is implicated in a wide variety of inflammation-associated disease states, including suspectibility to diabetes mellitus and systemic juvenile rheumatoid arthritis. [provided by RefSeq, Jun 2011]. Function: Cytokine with a wide variety of biological functions. It is a potent inducer of the acute phase response. Plays an essential role in the final differentiation of B-cells into Ig-secreting cells Involved in lymphocyte and monocyte differentiation. It induces myeloma and plasmacytoma growth and induces nerve cells differentiation Acts on B-cells, T-cells, hepatocytes, hematopoietic progenitor cells and cells of the CNS. Also acts as a myokine. It is discharged into the bloodstream after muscle contraction and acts to increase the breakdown of fats and to improve insulin resistance. Subcellular Location: Secreted. Post-translational modifications: N- and O-glycosylated. DISEASE: Genetic variations in IL6 are associated with susceptibility to rheumatoid arthritis systemic juvenile (RASJ) [MIM:604302]. An inflammatory articular disorder with systemic-onset beginning before the age of 16. It represents a subgroup of juvenile arthritis associated with severe extraarticular features and occasionally fatal complications. During active phases of the disorder, patients display a typical daily spiking fever, an evanescent macular rash, lymphadenopathy, hepatosplenomegaly, serositis, myalgia and arthritis. Note=A IL6 promoter polymorphism is associated with a lifetime risk of development of Kaposi sarcoma in HIV-infected men. Similarity: Belongs to the IL-6 superfamily. SWISS: P05231 Gene ID: 3569 Database links: Entrez Gene: 16193 Mouse SwissProt: P08505 Mouse Unigene: 1019 Mouse Unigene: 9873 Rat 白细胞介素6是一种多功能细胞因子,既可由淋巴细胞产生,也能由非淋巴细胞合成。在体内免疫反应调节、血细胞的增生、防御机制和急性期反应中起重要作用。 白细胞介素-6是一种糖蛋白,它既可诱导急性期时相关蛋白的产生,也是β细胞终末分化并分泌抗体的必需因子,在免疫调节中发挥重要作用,人的IL-6的前体有212个氨基酸。成熟形态为185个氨基酸。白细胞介素6的分子量:21KD-28KD |
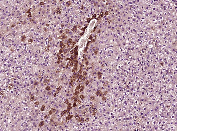
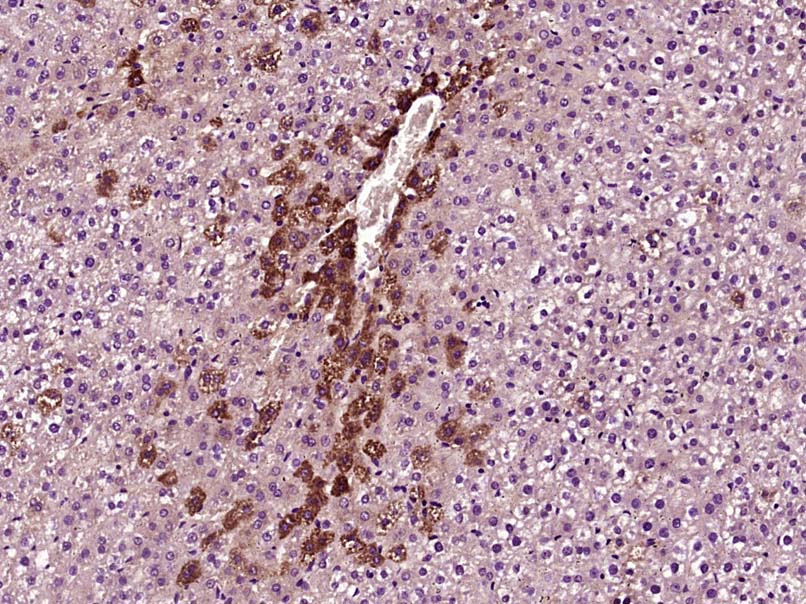
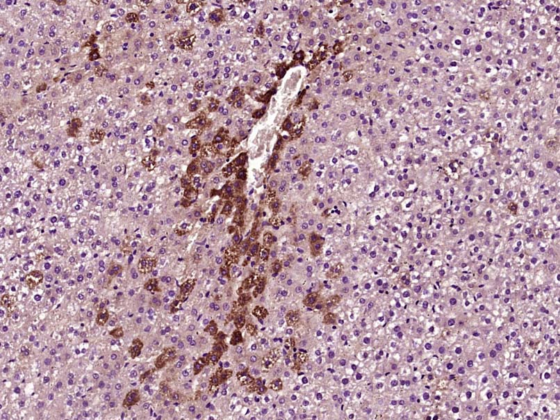
| 产品图片 |
Sample: Lung (Mouse) Lysate at 40 ug
Primary: Anti-IL-6 (bs-6309R) at 1/300 dilution Secondary: HRP conjugated Goat-Anti-rabbit IgG (bs-0295G-HRP) at 1/5000 dilution Predicted band size: 23 kD Observed band size: 19 kD Paraformaldehyde-fixed, paraffin embedded (Rat liver); Antigen retrieval by boiling in sodium citrate buffer (pH6.0) for 15min; Block endogenous peroxidase by 3% hydrogen peroxide for 20 minutes; Blocking buffer (normal goat serum) at 37°C for 30min; Antibody incubation with (IL-6) Polyclonal Antibody, Unconjugated (bs-6309R) at 1:400 overnight at 4°C, followed by operating according to SP Kit(Rabbit) (sp-0023) instructionsand DAB staining.
|



