生化指标分析
- HTSW-4
- 环特生物
- 浙江省杭州市
- 现货
- 按需
- 议价
- 2023-04-10 10:07:56
杭州环特生物科技股份有限公司
一键申请试用
咨询
加入意向单
联系方式
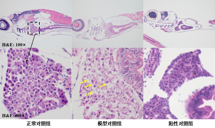
斑马鱼生化指标分析平台是通过染色、生化试剂盒等方法对功效进行测试,如ROS染色、脂肪染色、病理切片或酶含量检测等。生化指标分析平台配备有全自动快速研磨仪、全波长多功能酶标仪、解剖显微镜、电动聚焦连续变倍荧光显微镜、蔡司荧光显微镜等先进仪器,利用斑马鱼进行生化指标观察最大的优势是斑马鱼幼鱼通体透明,染色后可直接置于显微镜下观察,实验结果更加直观。例如在脂肪肝模型中,可直接利用油红O染色观察斑马鱼肝脏位置脂肪染色强度,无需解剖;在高糖高脂模型中,可利用胆固醇荧光探针,在荧光显微镜下观察斑马鱼血管胆固醇荧光强度。
图1 斑马鱼甘油三酯染色展示图
图2 斑马鱼胆固醇荧光展示图
图3 斑马鱼肝脏病理切片
