BRAF(V600E) 小鼠单抗
- 26039
- NewEast Biosciences
- 湖北省武汉市
- 现货
- 100ul
- 4800 元
- 2022-12-27 14:59:00
武汉费斯德生物科技有限公司
- 英文名称
- Anti-BRaf(V600E) Mouse Monoclonal Antibody
- 关键词
- BRaf单抗BRaf抗体
- 应用
- ELISA, WB, IF, IHC
| 货号: 26039 |
| 基因符号: BRaf |
| 描述: Anti-BRaf(V600E) Mouse Monoclonal Antibody |
| 背景介绍: B-Raf is a member of the Raf family of Ser/Thr protein kinases. It functions downstream of Ras to regulate the MAP kinase signaling pathway. Mutations in the BRAF gene cause diseases. Inherited mutations in BRAF cause cardiofaciocutaneous syndrome. Acquired mutations in BRAF have been found in cancers |
| 免疫原: A synthetic peptide from the internal region of BRaf(V600E), human origin |
| 经过测试的应用: ELISA, WB, IHC, IP |
| 推荐稀释比: ELISA: 1: 100-1: 5000 WB: 1: 100-1: 2000 IHC: 1: 100-1: 1000 |
| 浓度: 1 mg/ml |
| 宿主: Mouse |
| 形式: Liquid |
| 克隆性: Monoclonal |
| 亚型: IgG2b |
| 纯度: Purified from ascites |
| 防腐剂: No |
| 成分: PBS (without Mg2+ and Ca2+), pH 7.4, 150 mM NaCl, 50% glycerol |
| 种属反应性: Recognizes B-Raf(V600E), but not wild type B-Raf proteins from vertebrates. |
| 储存条件: Store at -20°C. Avoid repeated freezing and thawing |
蛋白质印迹:
Western blot analysis of recombinant B-raf proteins with anti-BRaf(V600E) antibody.
Purified His – tagged B-Raf( V600E ) ?amino acids 513-693)(lane1) ? corresponding wild type protein(lane 2), His – tagged B-Raf( V600D ) (lane 3) , His – tagged B-Raf( V600A ) (lane 4) , His – tagged B-Raf( V600G ) (lane 5) , His – tagged B-Raf( V600K ) (lane 6), His – tagged B-Raf( V600R ) (lane 7), and His – tagged B-Raf( V600M ) (lane 8) were blotted with anti-B-Raf(V600E) monoclonal antibody (Cat. # 26039) .
免疫荧光:


Immunofluorescence of cell expressing BRaf protein with anti-BRaf(V600E) antibody . HEK293T cells were transfected with pCDNA3-GFP- B-Raf( V600E )plasmid,pCDNA3-GFP- B-Raf( WT )plasmid, pCDNA3-GFP- B-Raf( V600K )plasmid,pCDNA3-GFP- B-Raf( V600R )plasmid, pCDNA3-GFP- B-Raf( V600A )plasmid,pCDNA3-GFP- B-Raf( V600D ) plasmid, pCDNA3-GFP-B-Raf(V600M)plasmid, or pCDNA3-GFP-B-Raf(V600G)plasmid, then fixed and stained with anti-B-Raf(V600E) monoclonal antibody (Cat. # 26039).
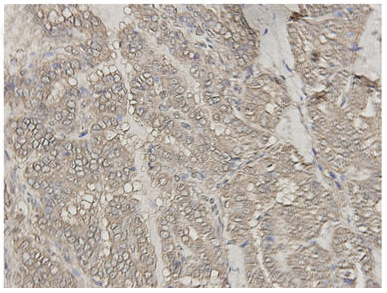
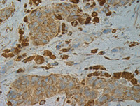
Immunohistochemistry:

B-Raf(V600E) monoclonal antibody (Cat. # 26039). Tissue samples were fixed with formaldehyde and blocked with 1% serum for 15 min at 37 °C. Antigen retrieval was by heat mediation in citrate buffer (pH6). Samples were then incubated with primary antibody (1: 100) overnight at 4°C. A HRP-conjugated Goat anti-mouse IgG (dilution 1: 50) was used as secondary antibody.

Immunohistochemical analysis of paraffin-embedded Thyroid Carcinoma tissue -with anti-BRaf (V600E) monoclonal antibody (Cat. # 26039). Tissue samples were fixed with paraffin. Samples were then incubated with primary antibody (1: 100) overnight at 4°C. An HRP-conjugated Goat anti-mouse IgG (dilution 1: 50) was used as the secondary antibody. Allele-specific PCR validated to be Negative for BRAF V600E.

Immunohistochemical analysis of paraffin-embedded Thyroid Carcinoma tissue -with anti BRaf(V600E) monoclonal antibody (Cat. # 26039). Tissue samples were fixed with paraffin. Samples were then incubated with primary antibody (1: 100) overnight at 4°C.A HRP-conjugated Goat anti-mouse IgG (dilution 1: 50) was used as secondary antibody.Allele specific PCR validated to be Negative for BRAF V600E.

