重组肠激酶在4℃,25℃,37℃温度条件下的酶切效果对照实验
解决方案摘要
产品配置单
解决方案详情
重组肠激酶
按下表方法酶切底物一定时间后电泳鉴定,
0.1U重组肠激酶酶切50ug底物进行检测。
|
时间/h |
8 |
16 |
24 |
40 |
48 |
64 |
|
温度 |
4-8℃及25℃分别酶切以上时间 |
|||||
|
时间/h |
2 |
4 |
6 |
8 |
24 |
|
|
温度 |
37℃酶切以上时间 |
|||||
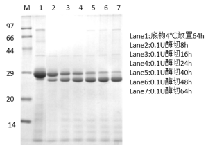
4℃酶切效果图如下:

结果:4℃能对底物进行酶切,但需要将酶切时间延长至48-64h.
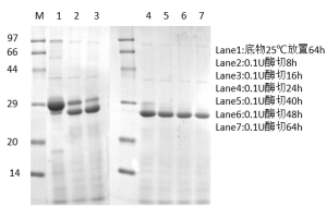
25℃酶切效果图如下:

结果:25℃酶切16h为测活条件,但延长至24h比较理想,甚至延长至64h也没有发生非特异性酶切。
37℃酶切效果图如下:

结果:37℃酶切8h即完全酶切,但此时底物也发生一定降解,但底物对照组未降解,说明8h之后EK有非特异性酶切。
咨询
我们尊重知识产权,如您认为本平台所载文章、图片、视频等内容侵犯您的合法权益,请您及时联系我们,我们将依据相关法律法规、平台规则予以处理。
关键字
- 684
- 点赞
- 复制链接
- 举报
