NK细胞疗法2022年临床试验飙升55%,直击胃癌、肺癌、肝癌、肠癌等!
2022年6月1日,Nature Reviews Drug Discovery发表的一篇报告中,来自纽约癌症研究所和IQVIA(艾昆纬数据库)的研究人员对全球抗癌细胞疗法管线和临床开发现状进行了盘点。
截止至2022年4月15日,全球免疫肿瘤学管线中有2756种处于活跃开发状态的细胞疗法,比2021年同期增长36%。基于自然杀伤细胞(NK)疗法的增长幅度与去年相比增长55%。
继CAR-T疗法之后,NK细胞疗法成下一任“新星”
从2022年最新公布的全球细胞疗法中不难看出,自然杀伤细胞(NK)疗法很有可能是继CAR-T疗法之后细胞免疫疗法的下一位主角,作为一种细胞抗癌疗法更具潜力,它可能会更安全、更便宜、更快速!
认识人体抗癌第一道防线——NK细胞
NK细胞又被誉为天然免疫的核心细胞,约占淋巴细胞循环数的5%—15%。NK细胞不需要抗原递呈过程,不用别人通风报信,就可以直接、快速将外来异物(病毒细菌感染细胞、癌细胞、衰老细胞等)就地正法。
与其他抗癌免疫细胞相比,NK细胞杀灭肿瘤和病毒感染细胞的作用更强、更有效。NK细胞游弋在全身血管行使免疫监视功能,它能在第一时间发现并启动免疫防御功能,迅速杀死病变、癌变的细胞,因此被医学界公认为抗癌第一道防线。
NK疗法在实体瘤中大放异彩,直击胃癌、肺癌、肠癌等!
NK细胞免疫疗法5大突出优势
适应症广:有效治疗大多数实体恶性肿瘤,并能消灭对放、化疗不敏感及转移的肿瘤细胞;
安全性:利用人体自身细胞杀死肿瘤细胞,毒副作用微乎其微;
持久性:启动机体免疫系统,恢复机体免疫功能,持续杀伤肿瘤细胞;
彻底性:提高机体免疫能力,彻底清除体内残留肿瘤细胞和微小转移病灶;
全面性:重建和提高患者自身的机体免疫功能,全面识别、搜索、杀伤肿瘤细胞,有效防止肿瘤的复发和转移。
NK细胞攻击并消灭癌细胞(如下图)
“攻击”
“瓦解”
“消灭”
无癌生存近4年,NK疗法针对胃混合印戒细胞癌症疗效不容小觑!
印戒细胞癌是一种预后不良的胃癌亚型,如果及早治疗,印戒细胞癌的预后优于其他亚型,然而,晚期印戒细胞癌的预后甚至比未分化腺癌更差。
与其他免疫细胞相比,NK细胞是免疫疗法的有利候选者,而脐带血是NK细胞的主要来源,因此,一篇刊登在《Medicine》上的病例报告就胃混合印戒细胞癌患者采用NK细胞辅助治疗的生存益处进行探讨。
该案例报道的是一名41岁患有胃混合印戒细胞癌患者,他于2015年12月-2016年5月在根治性胃切除术后接受奥沙利铂+替加氟联合化疗6个周期。治疗后CA72-4水平显著下降。3个月后,CA72-4水平迅速上升至86.34U/mL。2016年11月,患者开始接受每年3次的NK细胞治疗。NK细胞治疗后肿瘤标志物检测和腹部CT扫描显示,它正在变得正常且状况良好。
直到2020年9月最后1次随访时,患者在输注NK细胞后46个月(将近4年)保持无病状态!
这是NK细胞辅助治疗联合手术治疗和化疗对晚期胃印戒细胞癌患者的首次证明。治疗决策完全符合患者的选择,更能反映临床实际情况。NK细胞输注联合手术和化疗具有良好的耐受性,在预防胃混合印戒细胞癌复发和延长生存期方面显示出巨大的潜力。
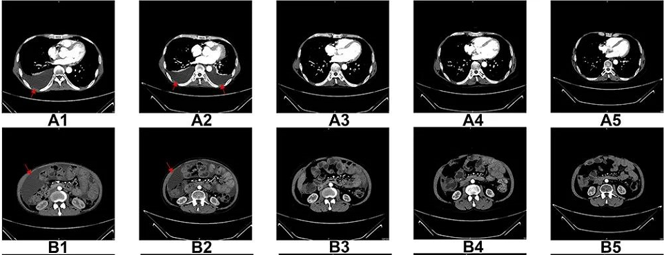
生存期超4年,NK疗法让肝癌患者胸腹水完全消失,肿瘤显著缩小。
曾有一个NK疗法治疗晚期肝细胞癌的案例刊登在《Oncotarget and Therapy》国外知名杂志上!此案例是一名男性患者,于2016年6月被诊断为晚期弥漫性肝细胞癌,T3N1M1[即根据肿瘤-淋巴结-转移(TNM)分期系统的IV期]。
从2017年3月-2018年7月,他完成了17个疗程的NK细胞治疗,每个疗程每月进行一次,连续两天输注。(患者在NK细胞治疗期间未接受其他治疗)
6个疗程后,患者的胸水和腹水明显减少。自治疗结束以来,患者一直保持这种状态。此外,在NK细胞治疗17个疗程后,右肝叶中的多个肿瘤体积减少。
值得一提的是,迄今为止,该名患者的生存时间>48个月,超过4年!
图A1-A5:CT扫描显示,6个疗程后胸腔积液完全消失;
图B1-B5:CT扫描显示,6个疗程后腹水几乎完全消失;
国内首个NK细胞联合PD-1治疗非小细胞肺癌成绩斐然
近期,一项由广东省蛋白质组学重点实验室姜勇教授团队带领开展的研究,证实了派姆单抗加同种异体NK细胞在先前接受过治疗的晚期NSCLC患者中安全有效。
这项研究的结果振奋人心,输注扩增的NK细胞后,患者的NK细胞显著增加,抗癌效果倍增。
1、派姆单抗联合NK细胞疗法的治疗效果是单纯采用派姆单抗治疗组近1倍(客观缓解率:36.5% vs18.5%),并且肿瘤显著缩小。
2、血液中的循环肿瘤细胞显著减少,肿瘤生物标记物下降,这说明NK细胞能够通过靶向血液中的肿瘤细胞清除体内残余的肿瘤细胞,来防止癌症的复发转移,这对于所有的肿瘤患者都是意义重大的。
3、总生存期和无进展生存期显著延长。
此外,公认的循环肿瘤细胞(CTC)减少能够反映NK细胞通过靶向血液中的CTC来防止转移并减轻残余肿瘤负荷,此研究是目前所知的第一个研究派姆单抗和NK细胞输注联合使用的安全性和有效性试验,派姆单抗联合NK细胞在先前接受过治疗的PD-L1+晚期非小细胞肺癌患者中提高了生存率。
研究结果表明,将抗PD-1或者抗PD-L1抗体与NK细胞联合使用可增强抗肿瘤作用,并为先前接受过PD-L1+晚期治疗的非小细胞肺癌患者提供潜在的治疗策略。
采用靶向NKG2D的CAR-NK细胞治疗直肠癌,安全且可行!
CAR-NK是利用基因工程给NK细胞加入一个能识别肿瘤细胞,并且同时激活NK细胞杀死肿瘤细胞的嵌合抗体。相比CAR-T细胞,CAR-NK疗法在实体瘤治疗方面更具优势。
2020年一篇广州医科大学的硕士学位论文中,我国研究学者采用靶向NKG2D的CAR-NK细胞治疗结直肠癌患者,其初步疗效值得肯定,且具有安全性。
研究中,采用局部输注NKG2Dp CAR-NKD的方式治疗了3例转移性结直肠癌患者。前两例患者腹腔输注低剂量CAR-NK细胞后,可观察看腹水生成量减慢以及腹水样本中肿瘤细胞的数量急剧减少。第三例肝转移瘤患者采用超声引导下瘤内经皮注射和腹腔内灌注方式输注CAR-NK细胞后,多普勒超声可见肝部肿瘤快速缩小,正电子发射断层扫描(PET-CT)提示经治疗的肝病灶为完全代谢反应。3例患者在治疗过程中均无出现3级或以上的不良事件。
CAR-NK细胞治疗后肝转移病灶PEC-CT结果对比图
NK细胞治疗前景广阔,未来可期!
经过几十年的临床研究,世界上已经实现了既增强NK细胞活性,又成功增加NK细胞的数量,完成了NK细胞回输体内对抗癌细胞必备的两项基本要求。目前,无论是中国、日本还是美国,NK细胞培养技术都已经非常成熟。
NK细胞免疫疗法作为癌症治疗的新方法,毒副反应更小,治疗效果更好;未来,我们相信免疫疗法有极大可能作为疾病的早期治疗方法,更高效、更安全地造福人类,未来可期!
摘自毕特博生物公众号
咨询
我们尊重知识产权,如您认为本平台所载文章、图片、视频等内容侵犯您的合法权益,请您及时联系我们,我们将依据相关法律法规、平台规则予以处理。
关键字
- 380
- 点赞
- 复制链接
- 举报
