最新发现 | 人类心脏重编程过程中的关键转录因子已被发现!
      近年来,通过细胞重编程实现了从成纤维细胞向心肌细胞的直接谱系转化。由转录因子过表达诱导的心脏细胞重编程既可以减少受损心肌处的瘢痕组织,又能够从现有的成纤维细胞中产生新的心肌细胞来改善心脏功能,在修复受损心脏方面具有广阔的应用前景。然而,传统的重编程因子不足以有效地诱导心脏成纤维细胞产生功能全面的心肌细胞,因此需要更深入的分子机制研究对这一修复过程做全面解析。
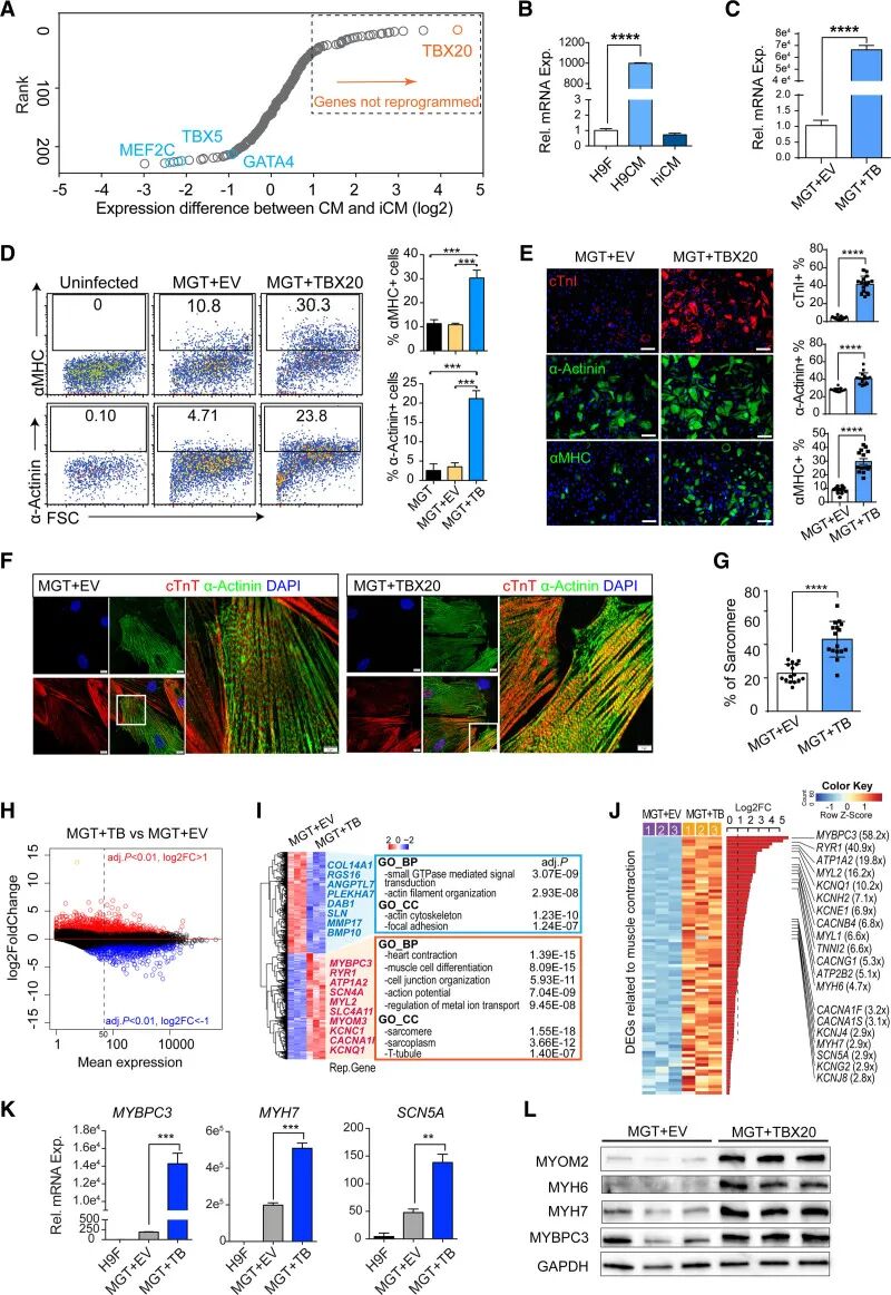
近日,发表在《Circulation》上题为“TBX20 Improves Contractility and Mitochondrial Function During Direct Human Cardiac Reprogramming”的研究中,美国阿拉巴马大学伯明翰分校研究人员发现并鉴定了转录因子TBX20能提高人心脏成纤维细胞诱导率,还证明了在TBX20参与的情况下,人为诱导的心肌细胞更为成熟且具有收缩性,揭示了TBX20与传统重编程因子协同作用并且激活心脏细胞重编程的重要机制。
该研究不仅证明在人类诱导的心肌细胞中TBX20可作为促进心脏收缩、成熟和能量代谢功能的关键因子,还揭示了其通过与传统重编程因子协同激活心脏相关增强子元件的重要机制来重建心肌细胞特性和收缩性。在未来,TBX20可能作为有效的调控因子,通过调节心肌细胞直接重编程在修复受损心脏等相关领域治疗中发挥关键作用。
咨询
          我们尊重知识产权,如您认为本平台所载文章、图片、视频等内容侵犯您的合法权益,请您及时联系我们,我们将依据相关法律法规、平台规则予以处理。
        
 关键字 
 - 354
 - 点赞
 - 复制链接
 - 举报
 
